הכל אודות שיננית בתל אביב
טורי שיניים לבנות משדרות בריאות, נעורים ואסתטיקה!! כל זאת אפשרי ולא תמיד כרוך בהוצאה כספית גדולה.
מי שמכיר אותי ומטופל אצלינו יודע כמה אני חסיד של הטיפול אצל השיננית וכמה אני מאמין שעם תחזוקה שוטפת וביקורים מסודרים אצלה ניתן ליהנות ממערכת שיניים טבעית כל החיים, לחסוך טיפולים לא נעימים וכמובן עלויות מיותרות. צוות המרפאה ואני בודקים מוצרים שונים להיגיינת הפה (משחות, מברשות ואביזרים) באופן קבוע. אנו פוסלים מחד ומשבחים מאידך ללא סנטימנטים מוצרים כאלה או אחרים. הצוות והפציינטים אשר משתפים פעולה בודקים את המוצרים השונים ואת ההמלצות אנו מעבירים לכם בגוף ראשון כאן באתר. ראו המלצות בשימושרון >>
לכן אנו מחזיקים במרפאה 5 שינניות מעולות כפי שמפורט בהמשך
השיננית היא חלק בלתי נפרד וחשוב מצוות העוסקים ברפואת השיניים המטפל בך. השיננית מבצעת טיפול מניעתי חשוב השומר על בריאות השיניים, וכן מבצעת טיפול תחזוקתי של המצב הקיים לאחר טיפול.
בנוסף, השיננית עוסקת בהסברה והדרכה אישית כיצד לסגל הרגלי צחצוח והגיינה אוראלית תקינים ובכך מסייעת לך בשמירה על בריאות הפה.
בין תפקידיה של השיננית:
- מסייעת באמצעות הדרכה אישית בהקניית הרגלים נכונים לשמירה יומיומית על השיניים.
- מבצעת בדיקה יסודית של השיניים והחניכיים, חלל הפה ואזור ראש צוואר בחיפוש אחר נגעים ומחלות אוראליות.
- מבצעת צילומי רנטגן.
- מייעצת בנושא תזונה למניעת עששת.
- מסירה אבנית ומשקעים קשים ורכים מעל ומתחת לחניכיים.
- מסייעת במניעת עששת על ידי טיפול בפלואוריד.
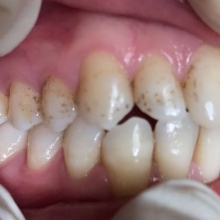
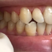
בתמונות שלפנינו, מטופל מעשן כבד, לאחר טיפול ראשוני וקצר אצל שיננית
- לפני
- אחרי
מתי הולכים לשיננית?
רופא השיניים יפנה מבוגרים וילדים לטיפול אצל השיננית כל שלושה עד שישה חודשים לפי הצורך .
תדירות זו תלויה בראש וראשונה ברמת הצחצוח האישי של כל אחד. זמני הביקור אצל השיננית תלויים גם במצב הכללי של השיניים, בסוג השיקום (כתרים, שתלים, נשלף, נייח וכו') ובגיל המתרפא. אצל אנשים אשר עברו שיקום פה נרחב מומלץ לבקר לעיתים קרובות יותר בכדי לתחזק , לשמור ולמנוע היווצרות חיידקים בין הכתרים. ילדים מופנים לטיפול מניעתי ראשון אצל השיננית בסמוך לגיל 4 לאחר ביקור אצל רופא השיניים ביקור כבר בגיל שנתיים יכול למנוע מחסום פסיכולוגי בעתיד ומומלץ כביקור הכרות או כמשחק של מספר דקות עם כיסא הרופא. האמינו לי שזהו צעד מדהים לבניית אמון ומניעת פחד בעתיד.
איך אנו יודעים אם הצחצוח שלנו יעיל?
ניתן לבדוק את יעילות הצחצוח באמצעות "תמיסת המחשה" הנמכרת בפארמים למינהם. מכיוון שהתמיסה צובעת את רובד החיידקים באדום, מספיק לשים מספר טיפות על הלשון ולהעבירה בפה ואז ניתן לראות כמה הצחצוח שלנו יעיל. השיניים הנקיות לא יצבעו וכך נוכל לבקר את עצמינו בכדי לשפר את הצחצוח. בדיקה כזאת נעשית גם על ידי השיננית.

כיצד מתנהל הטיפול?
למבוגרים וגם לילדים הטיפול יתחיל בבדיקת החניכיים, הרקמות הרכות והשיניים. לאחר מכן הסרת כל המשקעים הרכים והקשים המצטברים על השיניים. טיפולים נוספים עשויים לכלול הסרת כתמים מן השיניים, ליטוש סתימות וטיפול בפלואורידים.
פרופיג'ט: במקרים בהם קיימים כתמים הקשים להסרה, השיננית משתמשת במכשיר המתיז תרסיס המורכב ממים, אוויר ומגרגירי "סודיום ביקרבונט" (סודה לאפיה). החומר מותז על השיניים בלחץ ,בצורת חומר המזכיר חול או מלח ומסיר את כל הכתמים אשר לא הוסרו בניקוי הרגיל. (פעולה המומלצת לפני הבהרת שיניים). במקרים רבים מתרפאים ויתרו על רצון להלבין את שיניהם והסתפקו בפעולה זו שכן השיניים נראות הרבה יותר לבנות ומבריקות.
האם הטיפול כואב?
לא ! הטיפול אינו כואב, אך ההרגשה בפה, תוך כדי הניקוי, לא תמיד נוחה. במצבים כאלה, אפשר תמיד לבקש מהשיננית הפסקה קצרה ואז להמשיך בטיפול. אנשים הבאים באופן קבוע לניקוי שיניים, לא מצטברת אבן בפיהם, אין דלקת חניכיים וכך הופך הטיפול להיות שגרתי ואף נעים.
טיפול קבוע אצל שיננית מקצועית, יכול לחסוך הרבה כסף, עוגמת נפש ולמנוע טיפול שיניים מקיף.
במרפאת ד"ר יהב שלוש שינניות מוסמכות עם נסיון של שנים רבות. ראה הצוות >
והמלצתי לגבי הביקור אצל השיננית
הקפידו על ביקורים קבועים אצל שיננית . מישהי קבועה שמכירה אתכם ומנהלת מעקב צמוד על מצב השיניים והחניכיים שלכם. שיננית בעלת ניסיון תדע לזהות ולאבחן מצבים בהם קיים צורך בהפניה לטיפול אצל רופא שיניים.
כאשר ברצונכם לבחור מברשת שיניים, הקפידו תמיד שתהיה רכה. מברשת קשה גורמת לנסיגת חניכיים ושחיקה של ציפוי השן (האמייל), המברשת צריכה להיות בגודל בינוני כדי שתתאים לניקוי משטחי השיניים. בשנות עבודתי שמתי לב שאנשים שמצחצחים שיניים בזמן המקלחת, מצליחים לתחזק בצורה טובה יותר את בריאות הפה שכן, עושים זאת יותר זמן ובצורה יותר יסודית. ממליץ לכם לנסות את העניין…
מברשת חשמלית – מומלצת לשימוש לכל המעוניין, אך מומלצת בעיקר לאנשים שהצחצוח במברשת רגילה קשה להם והם לא ממש מצליחים לסלק את רובד החיידקים מעל משטחי השיניים עם מברשת רגילה.
שימוש בקיסמים או בחוט חשוב ביותר, כיוון שאין מברשת שיניים שמצליחה לנקות את האזורים שבין השיניים, לכן חייבים להשתמש בחוט או בקיסם משולש. יש חשיבות לצורת הקיסם, כיוון שצורת משולש מתאימה לצורת הרווח שבין השיניים. קיסם הניתן במסעדה , אינו יעיל ועלול לפצוע את החניכיים.
צביעה הומוגנית של השיניים – BLACK LINE
צביעה המופיעה בצורה של שורה או נקודות שחורות על פני השן, במקביל ובקרבת החניכיים. לעיתים, רואים משטחי שן שלמים מוכתמים ולעיתים נקודות בודדות. צביעה זו נגרמת כתוצאה מחיידק (Bacteroides Melaningenicus)הקיים בפה וגורם לשקיעת פיגמנט על חומר השן. עד היום לא ידוע מהי הסיבה להופעתו, למה אצל אחד ולא אצל השני, למה מופיעים ולעיתים נעלמים….
לרוב, המתרפאים רצים למרפאת השיניים בגלל חוסר האסתטיות הנגרם מצביעה זו. אין מה להיבהל, אלו הם חיידקים המופיעים ברוק ולא גורמים לשום נזק לגוף. לרוב, המצב מאופיין במטופלים בעלי היגיינת פה מצוינת וסיכון נמוך לעששת. אצל ילדים מאוד קטנים הסיבה תיתכן כתוצאה מהדבקה מאחד מבני הבית.
ההמלצה היא לא לצחצח בחוזקה. החיידקים הללו לא מזיקים והם מאוד דביקים. יש לצחצח יסודי, בעדינות ולהשתמש בחוט דנטאלי. ציחצוח אגרסיבי עלול לגרום לנזק בלתי הפיך לרקמות הרכות בפה וגם לרגישות.
יש לנקות שיניים אצל שיננית כאשר הכתמים מתחילים להופיע. אם הכתמים קשים להסרה בטיפול אצל השיננית ניתן להניח שהכתמה זו תחזור יותר מהר בפעם הבאה.
ניתן לנסות לעכב את הצטברות הכתמים מסוג זה ע"י שימוש בשטיפות פה המכילות אבץ.
ובכל אופן יש להתייעץ עם רופא השיניים והשיננית.
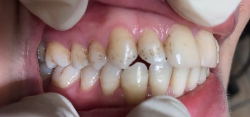
- לפני- מטופל הגיע עם BLACK LINE מפושט בכל השיניים
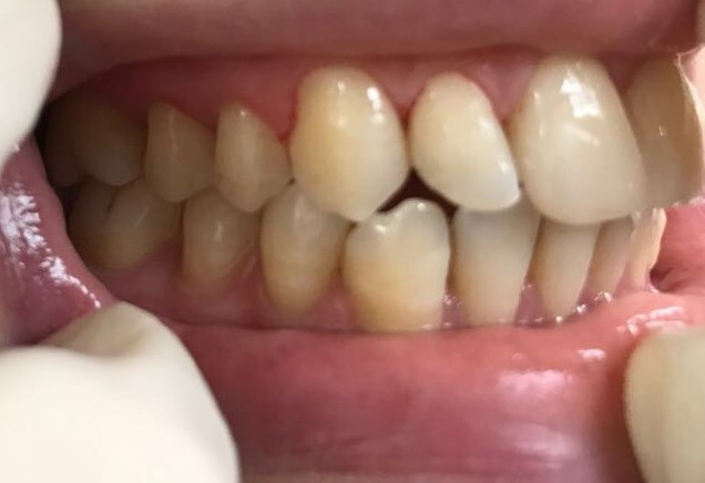
- אחרי ניקוי שיננית, ללא סימני הכתמה כלל
אז אם חיפשתם – שיננית בתל אביב – הגעתם למקום הנכון.
ראו גם פרקים אלו בשימושרון
צוות השינניות במרפאה
מקצועית, סבלנית ועדינה במיוחד.
חברה באיגוד השינניות.
נ+2 ,גרה בת"א.
20 שנות ותק במקצוע, בעלת יחס אישי, יסודית, מקצועית ועדינה.
נסיון רב בטיפולי חניכיים ועבודה עם ילדים.
פעילה קהילתית בבתי ספר וגני ילדים.
חברה באגודת השינניות הישראלית.
נ+3 מתגוררת בגבעתיים.
סבלנית, אדיבה, חייכנית ועדינה.
נשואה + 1 גרה בתל אביב
נעימה , מקצועית, יסודית וסבלנית.
בעלת ניסיון במטופלים עם חרדה דנטלית וכן מנוסה מאד במחלות חניכיים.
מעל ל-15 שנות ניסיון בטיפולי חניכיים למטופלים הסובלים פריודונטיטיס (מחלת חניכיים).
ניסיון רב בהדרכות של בריאות הפה.
יסודית, מקצועית, נעימה ומרגיעה.
נשואה + 2.
מבאר יעקב.









