"סרגלון" דמוי מחט נכנס לאזור הכיס שבין השן לחניכיים ובעומק של מעל ל- 2 מילמטר מראה על מחלה.
"סרגלון" נכנס לעומק הכיס ומצביע על מחלת חניכיים מתקדמת.
בדרך כלל רופא החניכיים ולעיתים גם השיננית מבצעים בדיקה עם "הסרגלון" ורושמים בטבלה את עומק הכיסים ועל סמך המדידות קובעים את הטיפול המתאים
החיידקים המהווים את הגורם הראשוני למחלת חניכיים, מצטברים בדרך-כלל בגבול שבין השן לחניכיים, אזור שלא תמיד זוכה לתשומת לב מיוחדת בזמן הצחצוח.
כאשר החיידקים אינם מסולקים, אנחנו מבחינים ב- 2 שלבים עיקריים במחלות חניכיים:
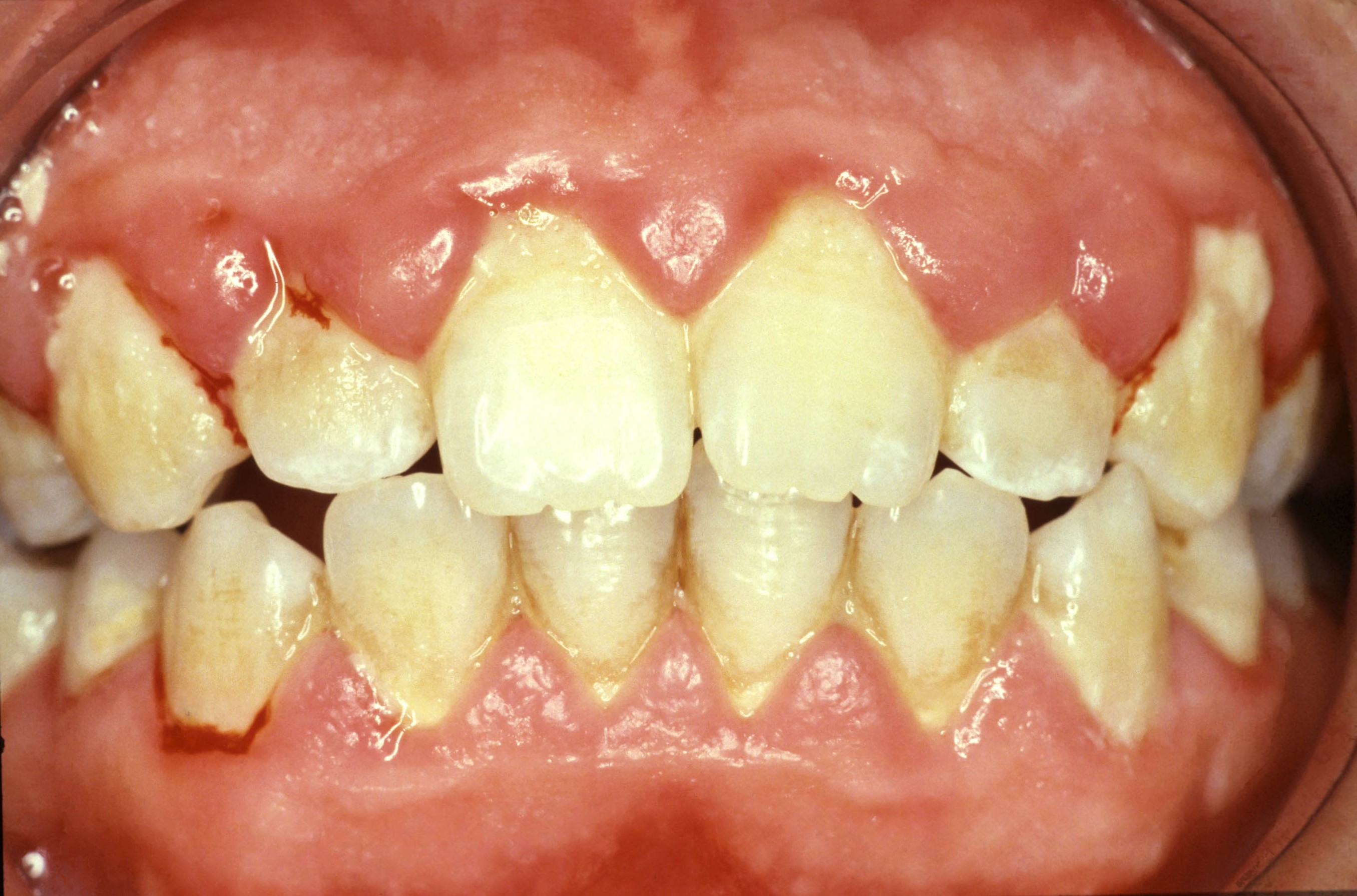
ג'ינג'יביטיס – צורתה הקלה יותר של המחלה, הפוגעת בחניכיים בלבד.
החניכיים הופכות אדומות, נפוחות ומדממות בקלות.
תיתכן תחושת אי-נוחות קלה או כלל לא.
ג'ינג'יביטיס נגרמת לרוב כתוצאה מהיגיינה אוראלית לקויה.
בקבלת טיפול מתאים ובהמשך שמירה על היגיינה תקינה בבית, ניתן להחזיר את המצב לקדמותו ולהגיע להחלמה מלאה.
עם זאת ג'ינג'יביטיס אשר אינה מטופלת עשויה להפוך לפריודונטיטיס עם הזמן.
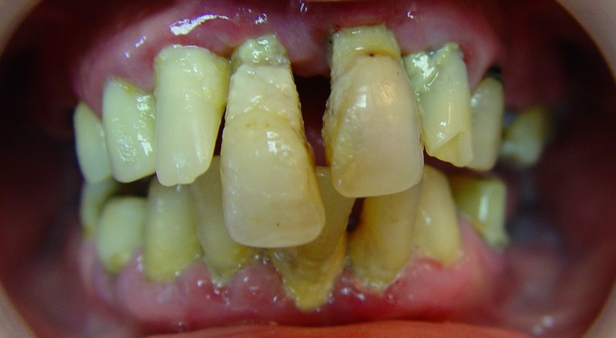
פריודונטיטיס – השלב שבו ישנה התפתחות של הדלקת לכרונית ותגובת נגד של המערכת החיסונית כנגד רכיבי הגוף עצמו.
כתוצאה מכך נגרם הרס נרחב של החניכיים ושל רקמת העצם התומכת בשן במקרה של פגיעה בעצם המצב אינו הפיך אך ניתן לעצירה בטיפול מתאים ובשמירה על היגיינה תקינה כך שהמצב לא יחמיר.
קצב התהליך הדלקתי שונה מאדם לאדם ותלוי רבות בהרגלי ההיגיינה של כל אחד ואחד.
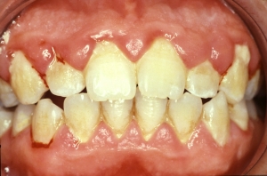
מחלת חניכיים נרחבת – בשלב זה מרבית השיניים מיועדות לעקירה.
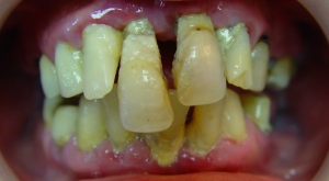
במקרה שלפנינו הפציינטית הגיעה עם מחלת חניכיים נרחבת והטיפול הראשוני כלל עקירת חלק מהשיניים, טיפול חניכיים בסיסי בשלב ראשון ברמה של שיננית וביצוע שיקום זמני הנותן מענה סביר בהחלט.
- לפני
- לאחר העקירות עם שיקום זמני
כמובן שמדובר בטיפול ראשוני בלבד כדי ליצור פתרון מיידי לאחר העקירות. בשלב השני מבוצעת הערכה מחודשת ותכנית טיפול.
אבחנה:
קשר קבוע עם רופא השיניים שלכם ועם השיננית ימנע בעיות מיותרות ורק במקרה הצורך תופנו לרופא חניכיים לאבחון.
האבחנה בדבר קיומה של מחלת חניכיים ושלבי התקדמותה מתבצעת באמצעות מדידת כיסי החניכיים, מדדי דימום, רובד וצילומי רנטגן שאותם מבצע רופא השיניים או הפריודונט.
גורמי סיכון המגבירים את הסיכון לפתח מחלת חניכיים:
- עישון או לעיסת טבק
- כתרים וגשרים לקויים
- מחלות סיסטמיות כדוגמת סוכרת בלתי מאוזנת
- נטייה תורשתית
- מצבי לחץ
- תזונה לקויה
סימנים היכולים להעיד על מחלת חניכיים:
- חניכיים המדממות בקלות
- חניכיים אדומות, נפוחות ורגישות
- ריח פה רע או טעם רע בפה לאורך זמן
- שיניים קבועות ניידות
- שינויים בהתאמת התותבת
חשוב לציין כי ייתכן מצב שקיימת מחלת חניכיים, אך לא יהיו סימני אזהרה מובהקים.
לכן ישנה חשיבות מרובה לבדיקה שגרתית ושמירה על היגיינה אוראלית תקינה.
זכרו שביקור קבוע אצל שיננית ושמירה יומיומית על ניקיון השיניים והחניכיים הם הגורמים החשובים ביותר לשמירה על בריאות הפה לאורך שנים.
הטיפול במחלת חניכיים
בעבר היה נהוג לחשוב שחלק מהליך הזיקנה הוא איבוד שיניים וקבלת שיניים תותבות. היום כבר ידוע ששמירה על בריאות הפה בכלל תביא לשיניים בריאות ואף תעזור לנו לשמור על בריאות כללית טובה לאורך שנים. כיום יותר ויותר מבוגרים נהנים מהשיניים שלהם ואינם זקוקים לשיניים תותבות. מרשם הפלא הוא היגיינה אוראלית טובה יחד עם ביקור קבוע אצל השיננית.
חשוב לדעת שעל-פי מחקרים אחרונים, מבוגרים הסובלים ממחלת חניכיים לא מטופלת, מועדים יותר למחלת לב. נשים הרות הסובלות ממחלת חניכיים עלולות ללדת תינוקות בלידה מוקדמת ובתת-משקל.
מניעה היא הטיפול הפשוט והחשוב ביותר.
צחצוח שיניים נכון ושימוש בחוט דנטלי באופן קבוע בכל יום ימנעו התפתחות מחלת חניכיים. טיפול במחלת חניכיים מתחיל בשלב ראשון בהסרת אבנית על-ידי רופא השיניים או השיננית.
מטרת הניקוי היא להסיר את הפלאק ואת האבנית ממשטחי השן, ולהחליק את שורשי השיניים על-מנת לאפשר ריפוי של אזור הכיס ושל אחיזת החניכיים.
היגיינה אוראלית טובה בשלבים ראשונים של מחלת חניכיים יכולה להחזיר את המצב לקדמותו ולמנוע פעולות לא נעימות כניתוחים. במקביל מקבל המטופל הדרכה באשר לצחצוח תוך שימוש במברשות מיוחדות באזורים שבין השיניים, ובמקרים מסוימים שימוש בשטיפות פה המכילות חומרים אנטיבקטריאלים.
קיימים גם מוצרים, כדוגמת ה -פריוצ'יפ (שבב קטן המכיל כלורהקסידין ומוחדר לכיס הנגוע על-ידי רופא השיניים או השיננית) או ג'ל הנמצאים בשימוש גובר ומבצעים טיפול משלים לניקוי האבן במטרה לחסל את שאריות החיידקים שבכיס. חומרים אלו המכילים חומרים אנטי חיידקיים, משחררים באיטיות ובאופן מושהה חומרים אנטי חידקיים אל תוך כיס החניכיים.
חשוב שהביקור אצל רופא החניכיים יתבצע רק לאחר שנבדקת אצל רופא שיניים, והוא אשר המליץ להפנותך לייעוץ ולטיפול במידת הצורך. אנשים אשר פונים בעצמם לרופא חניכיים, לא יטופלו ללא הפנייה, בהנחה שהרופא הוא ישר ומקצועי, אך בכל מקרה תהה זו טעות!!
רופא השיניים חייב להיות מעורב בכל שלבי האבחנה והטיפול, ולעדכן את רופא החניכיים באשר לתוכנית הטיפול הכללית. אנו במרפאתנו עובדים בשיתוף פעולה עם פרופ' משה גולדשטיין שהוא רופא חניכיים מהמובילים, המעודכנים והמוכשרים בתחום. לשיטתנו, אנו מלווים אתכם בכל שלבי הטיפול אצל רופא החניכיים ועובדים עמו בשיתוף פעולה יומיומי. תהיה זו טעות למטופל לפנות לרופא חניכיים באופן עצמאי ללא הערכה, תוכנית טיפול וחוות דעת של הרופא המשקם אשר תועבר לרופא החניכיים ותהווה גורם חשוב בזמן ההתייעצות.
ביקור תדיר במרפאת השיניים לביקורת ולהסרת אבנית יסייעו לכם בשמירה על בריאות השיניים והחניכיים!










