דף הבית
מרפאה
הצוות
ידוענים מפרגנים
רפואה דיגיטלית
הטיפולים
שיקום הפה
כירורגיה
רפואה דיגיטלית
השתלות
טיפול בגיל הזהב
גלריית תמונות גיל הזהב
רפואת שיניים מונעת
פירודונטיה – מחלות חניכיים
טיפול בחרדה דנטלית
רפואת שיניים לילדים
טיפולי שורש (אנדודונטיה)
אורתודונטיה – יישור שיניים
יישור שיינים למבוגרים
יישור שיניים לילדים
מהו טיפול אורתודנטי
אז איך עושים את זה?
גלרייה
רפואת הפה
נחירות ודום נשימה חסימתי בשינה
הוראות לאחר טיפולים…
אסתטיקה
הלבנת שיניים
כתרים
גשרים
עיצוב החניכיים
סתימות בגוון השן
ציפוי שיניים
שיננית בתל אביב
עיצוב החיוך
גלריה לפני ואחרי
שימושרון
צרו קשר
גלריית תמונות אורתודונטיה
גלריית תמונות אורתודונטיה
kidum
2017-10-08T12:42:37+03:00
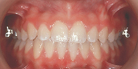
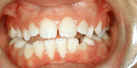
לפני
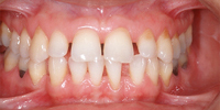
אחרי
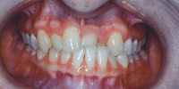
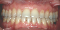
לפני
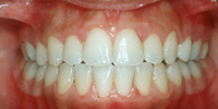
אחרי
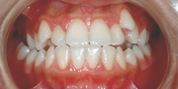
לפני
אחרי
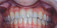
לפני
אחרי
לפני
אחרי
לפני
אחרי
לפני
אחרי
צרו קשר
צרו קשר
03-6022922
03-6022923
Δ
שלחו לנו הודעה
דילוג לתוכן
פתח סרגל נגישות
כלי נגישות
הגדל טקסט
הקטן טקסט
גווני אפור
ניגודיות גבוהה
ניגודיות הפוכה
רקע בהיר
הדגשת קישורים
פונט קריא
איפוס
מפת אתר
הצהרת נגישות