
אשה בשנות ה60 שהתלוננה על "חיוך עקום" וקשיים בלעיסה
לפני

בוצע שיקום פה אשר החזיר תפקוד ואסתטיקה
אחרי

בחור בן 30, הגיע עם היגיינה גרועה ביותר, שיניים שבורות וקו חיוך לקוי
לפני

בוצע "עיצוב החיוך מחדש" עם הנחיות היגיינה קפדניות
אחרי

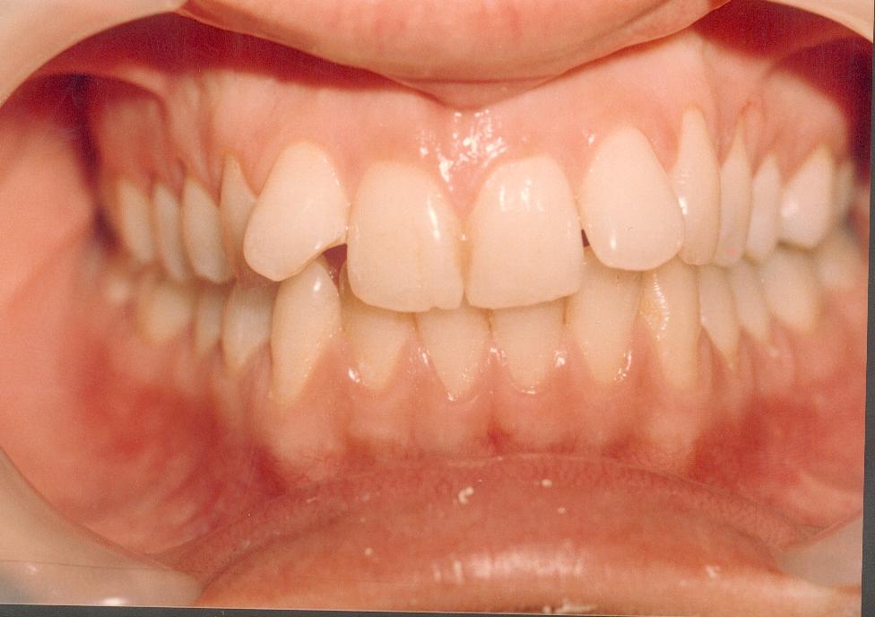
מרווח בין השיניים (דיאסטמה)
לפני

ביצוע ציפויי חרסינה לאחר הבהרה ותוצאה אסתטית מאוד יפה
אחרי

גבר כבן 70 עם איבוד מרווח בין לסתי המשדר מבט מבוגר מאוד, קשיים בלעיסה ובדיבור
לפני

בוצע שיקום פה משולב בהשתלות כאשר כל הטיפול בוצע ביום אחד והתוצאה כמובן ענתה על הציפיות האסתטיות והתפקודיות עם קבלת מראה צעיר משמעותית
אחרי

כתר ישן על בסיס זהב המשדר חיוך לקוי
לפני

בוצע כתר חדש על בסיס חרסינה זכוכיתית וקבלת מראה זוהר, נקי וצעיר
אחרי

אשה בשנות ה60 עם חיוך לקוי המשדר חוסר סימטריה ואסתטיקה
לפני

בוצע שיקום פה עם גשר חרסינה על בסיס מתכת וקבלת תוצאה אסתטית יפה עם קו חיוך חדש ושפתיים בעמדה סימטרית
אחרי

שן אשר עברה טיפול שורש לפני מספר שנים, עם הזמן קיבלה גוון כהה יותר, הבולט ומפריע בחיוך
לפני

בוצע כתר זירקוניה (חרסינה ללא מתכת) וקבלת תוצאה אסתטית משביעת רצון
אחרי

בחורה צעירה עם שיניים חותכות צידיות בולטות, אינה מעוניינת בביצוע אורתודונטיה (יישור שיניים)
לפני

בוצעו כתרי זירקוניה בשתי השיניים, לאחר השחזתם והכנסת השיניים לקשת הלסת. אמנם, קו החניכיים הפך לגבוה כצפוי, אך זוהי פשרה מתבקשת כאשר יש מניעה מיישור שיניים
אחרי

אישה בשנות ה60 הגיינה לקויה וחוסר שביעות רצון מהמצב האסתטי
לפני

בוצע טיפול חניכיים נרחב בשיתוף רופא חניכיים ושיקום פה אשר החזיר לפציינטית את "הכיף לחייך"
אחרי

חוסר מולד של שיניים חותכות צדדיות עם חוסר שביעות רצון מקו החיוך והאסתטיקה
לפני

בוצע גשר חרסינה על בסיס מתכת עם השחזת השיניים לצורך יצירת מקום לשיניים החסרות
אחרי

סתימה ישנה אשר הפכה לכהה והפרעה בחיוך
לפני

במקרה זה בוצעה סתימה חדשה בלבד, ללא שיחזור קרמי מעבדתי. התוצאה האסתטית הוכיחה את עצמה מספר שנים עם חסכון כספי משמעותי
אחרי

שיניים מוכתמות עם דיאסטמה (מרווח בין שתי הקדמיות)
לפני

בוצעה הבהרת שיניים בכל הפה וציפויים (למינייט ויניר),סגירת המרווח ותוצאה אסתטית יפה. כמו גם במקרים אחרים גם כאן השיקום החדש שיפר את עמדת השפתיים ונתן תחושה של נפח
אחרי

כתר ישן ומכוער מחוץ לקו החיוך
לפני

בוצעה הבהרת שיניים וכן כתר זירקוניה עם קבלת קו חיוך חדש
אחרי

אשה מבוגרת, קו חיוך לקוי וחוסר שביעות רצון, מהמצב האסתטי
לפני

בוצע "עיצוב החיוך מחדש" וגם כאן מנח ונפח השפתיים השתנה לחלוטין
אחרי

בחור צעיר וחייכן אשר אינו מרוצה מהדיאסטמה (מרווח בין השיניים הקדמיות)
לפני

בוצעה הבהרת שיניים בשתי הלסתות וכן ציפויים (למינייט ויניר) על שתי השיניים החותכות הקדמיות
אחרי

בחור צעיר עם שבר שיניים חותכות המשרה תחושה של קו חיוך עקום
לפני

בוצעו ציפויי חרסינה (למינייט ויניר) אשר יצרו קו חיוך יפה וסימטרי
אחרי

שיניים "עקומות" חיוך מוגבל ומכוער מאד, סגר לקוי המקשה על הלעיסה. מתרפאה מסרבת לבצע יישור שיניים.
לפני

בניית סגר חדש, שיפור התפקוד, ביצוע כתרים ושיפור מדהים בקו החיוך ובהופעה בכלל.
אחרי

בחור צעיר, מרווחים בין שיניים ומגבלה אסתטית.
לפני

לאחר הבהרת שיניים וציפויים, שיפור החיוך והתפקוד.
אחרי

בחור צעיר, שיניים קטנות ועם מרווחים שאינן מתאימות למבנה הפנים.
לפני

לאחר הבהרת שיניים וציפויים, שיפור משמעותי באסתטיקה ובביטחון האישי.
אחרי

כתמים על השן הקידמית אשר הופיעו בילדות ולא הוסרו בהצלחה בכל טכניקה אחרת.
לפני

לאחר הבהרת שיניים וציפויים, קבלת אסתטיקה מרשימה וביטחון אישי.
אחרי

בחורה צעירה, קו חיוך אשר מסתיר שיניים כן קשיים בלעיסה.
לפני

שיניים גדולות יותר, יפות יותר, היוצרות מראה צעיר יותר ומתאימות יותר למבנה הפנים.
אחרי

נערה צעירה עם מנשך פתוח (כאשר סוגרת את הפה שיניים קדמיות נשארות ללא מגע עם התחתונות)כתרים לא אסתטיים וללא תפקוד.
לפני

שינוי הסגר גרם לשיפור מדהים בתפקוד וכמובן באסתטיקה.
אחרי

כתר קדמי על בסיס מתכת, קצר ומכוער.
לפני

כתר קדמי ללא מתכת עם שיפור מתאר החניכיים.
אחרי

שיניים אפורות, שיחזור קדמי מכוער
לפני

שיניים לאחר הבהרה והחלפת שיחזור בשן קדמית.
אחרי

מנשך פתוח (שיניים קדמיות נשארות ללא מגע בסגירה) חיוך מכוער וחוסר תפקוד בלעיסה
לפני

שיפור הסגר והתפקוד בלעיסה, אסתטיקה וחיוך היוצרים תדמית אחרת לחלוטין.
אחרי

איבוד שן קדמית כתוצאה מתאונה, צילום עם שתל. שיניים אפורות ומכוערות.
לפני

כתר ללא מתכת מעל שתל, הבהרת שיניים ושחזורים בגוון השן בשיניים סמוכות.
אחרי

שיניים "צדדיות" עקומות, קטנות, בעלות צורת "חץ".
לפני

שחזורים בגוון השן בפגישה אחת, היוצרים חיוך מושלם.
אחרי

מרווחים גדולים בין השיניים, חיוך מכוער.
לפני

סגירת מרווחים בפגישה אחת באמצעות חומרים מרוכבים, שיפור האסתטיקה, התפקוד ובעיקר מצב הרוח.
אחרי

כתר קדמי ישן עם קו חניכיים נמוך ומכוער.
לפני

כתר "פרוסרה" (ללא בסיס מתכת) לאחר הגבהה כירורגית של קו החניכיים
אחרי

שן קדמית בולטת, מרווחים בין שיניים
לפני

סגירת מרווחים, שיפור קו החיוך באמצעות ציפויי חרסינה.
אחרי

נערה צעירה, חוסר מולד של מספר שיניים, שיניי חלב רבות, חיוך מוגבל וסגר לקוי.
לפני

טיפול בן מספר שנים, הכולל השתלות, שיפור הסגר ובעיקר האסתטיקה.
אחרי

מרווחים בין שיניים קדמיות.
לפני

סגירת מרווחים באמצעות ציפויים
אחרי

מרווח בין שיניים קדמיות (דיאסטמה)
לפני

סגירת מרווח באמצעות ציפויים ושיפור החיוך.
אחרי

איבוד שן קדמית כתוצאה מתאונה
לפני

לאחר השתלה וביצוע כתר ללא מתכת
אחרי

שן קדמית לפני הדבקת ציפוי חרסינה יחיד
לפני

לאחר הדבקת ציפוי חרסינה בודד (פעולה קשה מאד מבחינת התאמת צבע כאשר מדובר בציפוי יחיד)
אחרי

שיניים כהות, לא ישרות, קו חיוך "עקום".
לפני

ציפויי חרסינה, שיניים לבנות יותר, יפות יותר,שיפור קו החיוך והאסתטיקה בכלל.
אחרי

שיניים אפורות, לא ישרות, אורכים שונים ושברים.
לפני

ציפויי חרסינה, שיניים לבנות, מסודרות יותר היוצרות חיוך מדהים.
אחרי

בחורה צעירה, נאה מאד, עם דלקת חניכיים, שיניים חותכות מכוערות ועם קו חניכיים לקוי
לפני

לאחר טיפול במחלה, השוואת קו החניכיים וביצוע כתרים ללא מתכת
אחרי

שיניים אפורות, לא מסודרות וקו חיוך "עקום".
לפני

בניית קו חיוך חדש באמצעות כתרים ללא מתכת.
אחרי

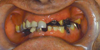
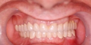
חוסר שיניים, שיניים קיימות עם עששת, איבוד מרווח בין לסתי, חוסר תיפקוד בלעיסה ואסתטיקה גרועה ביותר.
לפני

לאחר שיקום מורכב הכולל הרמת מנשך, טיפול בשיניים קיימות, השתלות, ושיקום באמצעות כתרי חרסינה. שיקום שכזה מצריך שימוש בסד לילה באופן קבוע. תוצאה אסתטית והתפקודית מעבר למצופה!
אחרי
אז אם חיפשתם בגוגל – שתלים זירקוניה, כתר זירקוניה תמונות, כתרי זירקוניה לפני ואחרי – הגעתם למקום הנכון.
