באיזה גיל מומלץ לבצע בדיקה אורתודונטית ראשונית?
האגודה האורתודונטית בישראל והאגודה האורתודונטית האמריקאית ממליצות על בדיקה אורתודונטית ראשונה בגיל 8-7. בדיקה זו מאפשרת זיהוי מוקדם של בעיות והתערבות מונעת המקטינה את הצורך בטיפול מורכב ויקר יותר בעתיד.
בהמשך מומלצת בדרך-כלל ביקורת שנתית, ולפי הצורך התחלת טיפול אורתודונטי מלא סמוך להשלמת בקיעת השיניים הקבועות (גיל 12 לערך). בטיפול בילדים ובבני נוער רצוי להתחשב בתהליכי הגדילה להשגת התאמה מירבית בעמדת הלסתות ובהרמוניית פנים מיטבית. בגילאים אלו תזוזת השיניים מהירה, והתוצאה היפה מלווה את הצעירים לאורך שנים ומסייעת בשמירה על בריאות השיניים והחניכיים להמשך החיים.
להצלחת הטיפול חשובה השמירה על נקיון השיניים. המכשור המורכב על השיניים דורש שימוש במברשות מיוחדות בעת הצחצוח להסרת הרובד המצטבר סביבו. להשלמת תהליך הצחצוח מומלץ שימוש יומיומי בשטיפות פה. בנוסף מומלצים ביקורים סדירים אצל השיננית במהלך הטיפול האורתודונטי.
סימנים או הרגלים היכולים להצביע על הצורך בבדיקה מוקדמת
- איבוד ספונטני מוקדם של שיני חלב או עקירה מוקדמת שלהן
- נשימת פה.
- מציצת אצבע (שממשיכה לאחר גיל 3-4)
- מציצת מוצץ (שממשיכה לאחר גיל 3-4)
- שיניים צפופות, שיניים חסרות או כלואות
- לסתות המשמיעות רעש בסגירה ובפתיחה
- שיניים שנפגשות בצורה לא תקינה או בכלל לא
- לסתות ושיניים ללא פרופורציה ביחס לשאר הפנים
בדיקה אצל מומחה לאורתודונטיה בסביבות גיל 7-8 מאפשרת לקבוע את העיתוי המיטבי להתערבות אורתודונטית (אם נדרשת).
יתרונות הטיפול בגיל צעיר
מהטיפול האורתודונטי ניתן להפיק תועלת בכל גיל. יחד עם זאת קיימים מספר יתרונות לטיפול בגיל צעיר:
אפשרות להדריך את גדילת הלסתות – הלסתות עדיין בתהליכי גדילה, וניתן להדריך את אופן גדילתן בהתאם לנדרש ולרצוי.
הדרכת בקיעת השיניים הקבועות לעמדה הנכונה ומניעה של טיפולים מסובכים יותר בהמשך.
תיקון הרגלים מזיקים כדוגמת מציצת מוצץ ואצבע.
הפחתה או העלמה של בעיות בליעה ודיבור.
שיפור המראה וההערכה העצמית.
הפחתת הסבירות לכליאת שיניים קבועות.
דוגמאות למיכשור אורתודונטי שמשתמשים בו בגיל צעיר:
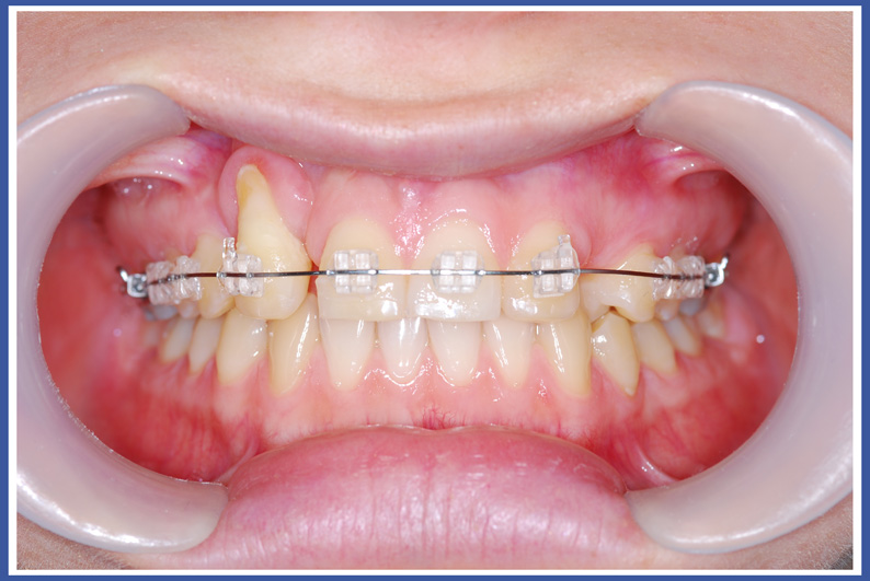
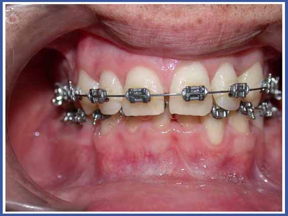
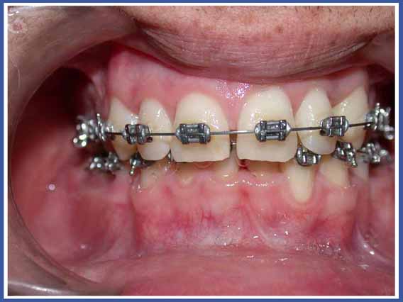
סמכים אורתודונטים (גשר) Brackets:
האמצעי הנפוץ ביותר כיום להזזת שיניים. הסמכים המודבקים לשיניים והחוט שעובר ביניהם מאפשרים להזיז את השיניים בכל שלושת המימדים בשליטה מלאה על התנועה, בניגוד לפלטות שיכולות להזיז שיניים רק בהטיה (רק לשנות את הזווית של השן בלסת). סמכים יכולים להיות מתכתיים או שקופים.
לסמכים המודבקים לשיניים יש יתרונות רבים אך יש להם גם חסרונות. החסרון העיקרי הוא הצטברות שאריות מזון וחיידקים עליהם. כדי למנוע סכנה לעששת (חורים) מסביב לסמכים, יש להקפיד על צחצוח שיניים קפדני במהלך הטיפול, ולהמנע ככל האפשר ממזון המזרז את התפתחות העששת (מזון עשיר בסוכר).
הנחיות לשמירה על הגיינה בזמן הטיפול האורתודונטי באמצעות סמכים (גשר):
חשוב מאד לנקות בין השיניים והטבעות, שכן לחיידקים יש נטייה גדולה יותר להימצא במקומות אליהם קשה לנו להגיע. פעולה זו תמנע בעיות ועששת גם לאחר סיום הטיפול והורדת הסמכים.
גודר לשון-מהו?
מתקן אורתודונטי המיועד לטיפול במקרים של מנשך קדמי פתוח, בעיקר על רקע מציצת אצבע או מוצץ. המתקן מודבק על השיניים האחוריות בלסת העליונה ומהווה מחסום ללשון מלהיכנס לרווח בין השיניים הקדמיות. המכשיר יעיל גם לסייע בגמילה ממציצת אצבע ומליקוי הסגר העיקרי הנגרם כתוצאה ממציצת אצבע, שהוא הסגר הקדמי הפתוח.
שומר מקום-מהו?
שן חלבית של ילד לפעמים "אובדת" לפני הזמן בשל עששת בשן או כתוצאה מפגיעה. אם הדבר קורה לפני שהשן הקבועה מוכנה לבקיעה, השן הסמוכה לרווח שנוצר עלולה לזוז ולסגור את המרווח שבו אמורה לבקוע השן הקבועה, ובכך ליצור חוסר מקום לבקיעת השן הקבועה. בנוסף לכך השן בלסת הנגדית עשויה אף היא לבקוע יתר על המידה אל תוך מרווח השן החסרה.
ברגע שנוצרת צפיפות במקום בו חסרה שן החלב,השן הקבועה אינה מצליחה לבקוע בצורה נכונה.
כתוצאה מכך יכולות לקרות התופעות הבאות:
- השן בוקעת בצורה עקומה או לא בוקעת כלל.
- שן הבוקעת עקום מקשה, בנוסף לכל, על אפשרות הצחצוח והשמירה על ניקיון השיניים באזור ומעלה את הסיכון לעששת.
- שן שבקעה במיקום לקוי יכולה לפגוע ביעילות הלעיסה, והיא עלולה לעבור שחיקה מהירה.
אם הבעיה לא מטופלת בשלב מוקדם על שומר מקום (שהוא מכשיר פשוט יחסית שמונע תזוזה של שיניים באזור), ייתכן שיהיה צורך בטיפול אורתודונטי מורכב בגיל מבוגר יותר.
ישנן שיניים חלביות אשר מוחלפות על-ידי שיניים קבועות רק בגיל 12 או 14, ולכן שומר המקום נשאר בפה עד לבקיעת השיניים הקבועות הרלוונטיות!
שומר המקום הינו מתקן מתכתי קטן אשר מוכן ומותאם במיוחד לפה של הילד שלך. הוא מקובע באופן יציב בפה ויוסר כאשר השן קבועה בעמדתה הנכונה. המתקן בנוי בדרך כלל מטבעת מתכת המודבקת לשן סמוכה וחוט מתכת שמחובר אליה ונשען על שיניים סמוכות. מטרת המכשיר לייצב את השיניים הנותרות מכל צד של המרווח ולמנוע מהן לזוז לכיוון המרווח עד לבקיעת השן הקבועה לעמדתה התקינה.
כיצד נשמור על תקינות וניקיון שומר המקום?
מספר דברים שעל ילדכם לבצע על מנת לשמור על תקינות שומר המקום:
עליו להימנע ממזון מתוק ודביק וממסטיקים.
עליכם להסביר לו שאין למשוך או לדחוף את שומר המקום באצבעותיו או בלשון.
עליו לשמור על ניקיון שומר המקום באמצעות צחצוח ושמוש בחוט דנטלי.
עליכם להקפיד על ביקורת סדירה כל 6 חודשים אצל רופא השיניים.
לסיכום: בדיקה אצל מומחה לאורתודונטיה בסביבות גיל 7-8 מאפשרת לאורתודונט לזהות ולהעריך בעיות, אם בכלל, לייעץ אם יש צורך בטיפול ולקבוע את הזמן הטוב ביותר לטיפול.
שיניים כלואות
יש מצבים בהם שן לא מצליחה לבקוע למקומה בקשת השיניים ונשארת כלואה בחניכיים.
יש מספר סיבות עיקריות לכליאה של שיניים:
1. כליאה עקב צפיפות בקשת השיניים: המקום לבקיעת השן הצטמצם ואין לה מקום לבקוע. במקרה כזה השן תבקע לעמדה לא נכונה או שתישאר כלואה בחניכיים.
2. חסימה למסלול הבקיעה: למשל שן עודפת באזור, חוסר ספיגה של שורש שן החלב.
3. טעות במסלול הבקיעה: שן קבועה מתחילה את התפתחותה בעומק החניכיים ועם הזמן מתחילה לבקוע.שיניים שלהן מסלול בקיעה ארוך עלולות "לטעות" וכתוצאה יישארו כלואות בחניכיים במיקום לא נכון. מצב כזה אופייני בעיקר לניבים עליונים להם מסלול בקיעה ארוך מאד (כליאה כזו קיימת גם בשיניים אחרות בשכיחות נמוכה יותר). שכיחות כליאה של ניב עליון באוכלוסיה 1%-3%.
הטיפול:
אופי הטיפול נקבע לפי הגורם לכליאת השן.
1. אם הגורם הוא צפיפות, מספיק בד"כ לפנות מקום לבקיעת השן וזו תבקע באופן ספונטני.
2. כליאה עקב חסימה מטופלת על ידי סילוק הגורם החוסם את בקיעת השן ובמקרים רבים השן תמשיך לבקוע באופן ספונטני.
3. אם הסיבה היא כליאה עקב טעות במסלול הבקיעה יש לחשוף את השן הכלואה בחניכיים באמצעים כירורגים. לפעמים חשיפת השן לבדה מספיקה כדי לכוון מחדש את מסלול הבקיעה, לפעמים דרוש להדביק מכשור אורתודונטי אל השן הכלואה בזמן החשיפה ולמשוך אותה באופן אקטיבי אל קשת השיניים.
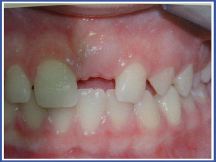
- לפני טיפול – השן הכלואה אינה נראית בחלל הפה
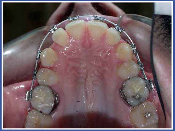
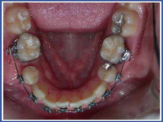
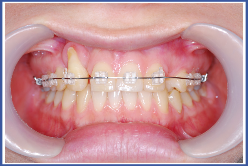
שלבי הטיפול
- 1
- 2
- 3
- 4
- 5
- 6
סיכויי ההצלחה בטיפול:
הטיפול מסתמך על ההנחה שהשן הכלואה לא איבדה את פוטנציאל הבקיעה שלה. סיכוי ההצלחה בטיפול בשיניים כלואות הוא גבוה מאד בגיל צעיר (מעל 90% בגילאי העשרה והעשרים) והולך ויורד עם השנים (בסביבות 50% בגיל 40). הסיבה היא שעם הזמן השן עלולה לעבור איחוי לעצם בחניכיים ובמקרה כזה אובד פוטנציאל הבקיעה של השן. לכן עדיף להבקיע שיניים כלואות בגיל צעיר יותר.
אם חיפשתם – יישור שיניים בתל אביב – הגעתם למקום הנכון.
















