שיקום הפה הוא תחום ברפואת שיניים המרכז וכולל את מגוון הטיפולים הרפואיים שמטרתם
החזרת התפקוד והאסתטיקה לחלל הפה בדגש על השיניים
הרופא המשקם הוא הרופא, "המנצח על התזמורת", הרואה את התמונה הראשונית וזה שמכוון את התקדמות הטיפול עד לתוצאה הסופית. תפקידו כולל ביצוע של מגוון טיפולים החל בשן הבודדת, גשר, שתלים ו/או תותבת, וגם הפניה למומחים נוספים לצורך ביצוע טיפולים מסוימים. עבודת הרופא המשקם מוכתבת מהתפקוד הכולל של מערכת הלעיסה, האסתטיקה של החיוך בהיבטיי שיניים, שפתיים וכל הפנים.
כאשר אתם מגיעים להתייעצות לצורך טיפול בפה ולביצוע סתימות, כתרים, גשרים, שתלים ו/או תותבות נכנסתם ל"ממלכת השיקום".
בפגישתכם הראשונה דר' יהב ישוחח אתכם ויאסוף נתונים לצורך הכנת תוכנית טיפול שתיתן מענה לבקשותיכם תוך הקפדה על עקרונות טיפול רפואיים. הבדיקה כוללת שאלון רפואי, בדיקת הפה הן של הרקמות הרכות (חניכיים, לשון, שפתיים וחיך) והן של הרקמות הקשות (שיניים, עצמות הלסת ומפרקי הלסת).
בנוסף יבוצעו צילומים קליניים ורנטגניים של חלל הפה והפנים (לפי הצורך), אשר יוזנו ויעובדו במחשב. הקפדה על השלבים הללו הנה הכרחית ותאפשר לרופא לתכנן לכם,המטופלים, תכנית טיפול התפורה אישית לכם תוך שימת דגש מרבי לתפקוד ואסתטיקה טובה יותר.
במסגרת תכנון הטיפול ניתן לבצע הדמיה ממוחשבת בכדי לראות את התוצאות העתידיות וכן הדמיה במודל תלת מימדי מגבס/שעווה להמחשת התוצאה.
מגוון הנתונים שנאספו ע"י הרופא ינותחו בעזרת מגוון האמצעים הממוחשבים ובפגישה השנייה (לאחר שהרופא "יכין שעורי בית") יוצגו למטופל ביחד עם תמחור הטיפול. תוכנית הטיפול תתייחס לכל אותם הנתונים שמסרתם לרופא וישקפו את תלונתכם המקורית, גיל, מין, מצב רפואי כללי ומגוון שיקולים סוציואקונומיים נוספים ובין השאר אפשרויות כלכליות.
כאשר מדובר בשיקום פה מורכב הטיפול במרפאתנו מחולק לשני שלבים עיקריים:
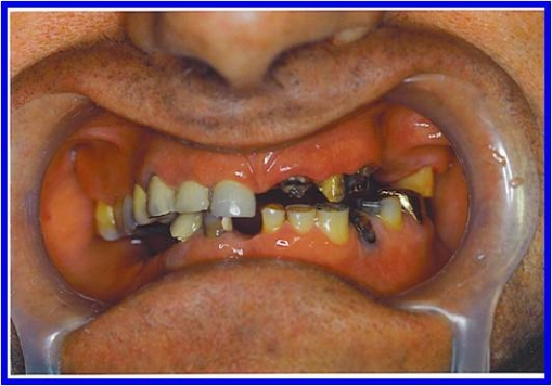
- לפני : חוסר שיניים, שיניים קיימות עם עששת, איבוד מרווח בין לסתי, חוסר תיפקוד בלעיסה ואסתטיקה גרועה ביותר
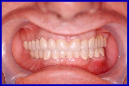
- אחרי: לאחר שיקום מורכב הכולל הרמת מנשך, טיפול בשיניים קיימות, השתלות, ושיקום באמצעות כתרי חרסינה. שיקום שכזה מצריך שימוש בסד לילה באופן קבוע. תוצאה אסתטית ותפקודית מעבר למצופה
השלב הראשון כולל את ניקוי הפה מחיידקים וממחלה והוא כולל ניקוי אבנית וריפוי דלקת החניכים במידה ויש, רפואה משמרת (סתימות, טיפולי שורש ושימור הקיים במידת האפשר), עקירת שיניים אבודות וביצוע גשרים אבחנתיים – גשרי מעבר ( נקראים גם גשרים זמניים). גשרים אבחנתיים הינם חשובים מאוד ומשמעותיים להמשך הטיפול והצלחתו.
גשרים אלה מאפשרים קודם כל למטופל "לקבל שיניים" לתפקד בלעיסה, בדיבור ונותנים פתרון אסתטי. הגשרים מהווים כלי חשוב המאפשר לרופא לחזות את תוצאות הטיפול, לשלול אפשרויות ולחזק כיווני מחשבה וחשוב מכל להמחיש למטופל "לאן אנו מתקדמים, איך ולמה".
הגשרים מאפשרים לקבוע את גודל, צורה וצבע של השיניים ביחד עם המטופל עד להגעה לתוצאה הרצויה ע"י המטופל.
בעזרת הגשרים ניתן לפתוח ו/או לסגור רווחים בין שיניים, לקבל תפקוד, אסתטיקה, פונטיקה ושמירה על הרקמות הקשות והרכות. בעזרת הגשרים ניתן לבחון את הרגלי המטופל, לחזק, להדריך ולהקנות הרגלי היגיינה אוראלית וכן לקבל מידע, הן מתמונת הגשרים והן מהמטופל עצמו (פידבק) שלעיתים יכול לשנות את תוכנית הטיפול כולה ובכך לשפרה ולתת מענה טוב יותר לצרכיו של המטופל (לשם כך אנו הרי מתאמצים יחד אתכם).
לאחר סיום השלב הראשוני בו מעורב בד"כ גם רופא חניכיים (פריודונט) מבוצעת הערכה מחדש, בחינת ההתקדמות של המטופל ותכנון השיקום הסופי שמתבססת גם על תוצאות גשרי המעבר והפידבק מהמטופל עצמו. חשוב מאוד להבין שהתמונה בסוף השלב הראשוני, מאפשרת לרופא לבדוק את יכולתו של המטופל לעבור את השיקום הקבוע ולפתור בעיות שעלולות לצוץ בעתיד.
השלב השני הוא ביצוע השיקום הקבוע. הצלחת הטיפול תלויה במידה רבה ברמת ההיגיינה ובהקפדה של המטופל להגיע לביקורים תקופתיים מסודרים אצל שיננית ומעקב רפואי אצל הרופא המטפל. במקרים מסוימים עם סיום הטיפול המשקם, המטופל מקבל גם סד לילה רך, הנועד להגן על הגשרים ועל השיניים הטבעיות משחיקה ושברים.
במקרים של בעיות שחיקה ו/או חריקת שיניים, תבוצע בדיקה מתאימה ולעיתים יהיה צורך בביצוע סד לילה קשיח המורכב על השיניים בזמן השינה ומונע תנועות לא רצוניות המבוצעות במהלך השינה ומפעילות עומס הפוגע בשיניים ובמפרקי הלסת.
חיוך מושלם ללא ניתוח: גשרי מרילנד
חולם על חיוך מושלם ללא כאבים והתערבות כירורגית? גשר מרילנד הוא הפתרון המושלם עבורך!
מה זה גשר מרילנד?
גשר מרילנד הוא שיטה חדשנית לשיקום שן חסרה, ללא צורך בהשתלת שיניים. הוא מורכב משן מלאכותית המוחזקת על ידי כנפיים קטנות המודבקות לשיניים הסמוכות. הטיפול מהיר, פשוט ואסתטי, ומאפשר לך לחזור לחייך בביטחון תוך זמן קצר.
למה לבחור בגשר מרילנד?
- שמירה על השיניים הטבעיות: בניגוד לגשרים מסורתיים, גשר מרילנד אינו דורש השחזה משמעותית של השיניים הסמוכות.
- טיפול מהיר: הטיפול כולל בדרך כלל רק שני ביקורים במרפאה.
- אסתטיקה מושלמת: השן המלאכותית מתאימה בצורה מושלמת לשאר השיניים שלך, ומעניקה לך חיוך טבעי ויפה.
- עמידות לאורך זמן: גשרי מרילנד עשויים מחומרים איכותיים ועמידים, ומבטיחים תוצאות לטווח ארוך.

- עלות אטרקטיבית: גשר מרילנד הוא פתרון חסכוני יותר בהשוואה להשתלת שיניים.

איך מתבצע הטיפול?
הטיפול בגשר מרילנד הוא פשוט ונוח. לאחר הכנה קלה של השיניים, מודבקת השן המלאכותית על ידי טכנאי אומן מיומן. התוצאה היא חיוך חדש ויפה, ללא כאבים והגבלות.

שאלות נפוצות:
- האם הטיפול כואב? הטיפול מתבצע תחת הרדמה מקומית, כך שלא תחושי כל כאב.
- כמה זמן מחזיק גשר מרילנד? עם טיפול נכון והיגיינה אוראלית טובה, גשר מרילנד יכול להחזיק שנים רבות.
- האם יש מגבלות לאחר הטיפול? מיד לאחר הטיפול, מומלץ להימנע מאכילת מזון קשה ודביק.

רוצה לחייך בביטחון? קבע פגישת ייעוץ עוד היום!
תותבת טלסקופית
במקרים בהם נותרו מספר שיניים בפה שאינן חזקות מספיק לשמש כבסיס לשיקום קבוע לטווח ארוך, ניתן לבחור בפתרון של תותבת טלסקופית.
הכוונה למצב שמצד אחד לשיניים הנותרות תמיכת עצם לקויה ומצד שני הן אינן במצב גרוע מספיק המצדיק את עקירתן.
התותבת הטלסקופית כוללת גשר שעשוי לרוב על בסיס זהב, המולחם לשלד התותבת עצמה. הגשר נכנס לפה בחיכוך על כיפות זהב אשר מודבקות על השיניים. התותבת נתמכת בשיניים וברקמות הרכות ובכך העומס מתחלק ומופחת מהשיניים.
יתרונותיה של שיטה זו נובעים מיכולת הגישה הישירה לשיניים בעת הסרת התותבת. תחזוקת השיניים הינה מקסימלית. הטיפול בשיניים, אם נדרש, פשוט ביותר, האסתטיקה הגבוהה אינה נפגעת כלל באם נדרש טיפול עתידי בשיניים עצמן.
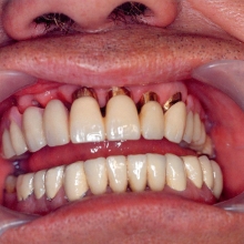
- כיפות טלסקופיות לאחר הדבקה
- תותבת טלסקופית מולחמת לגשר על בסיס זהב
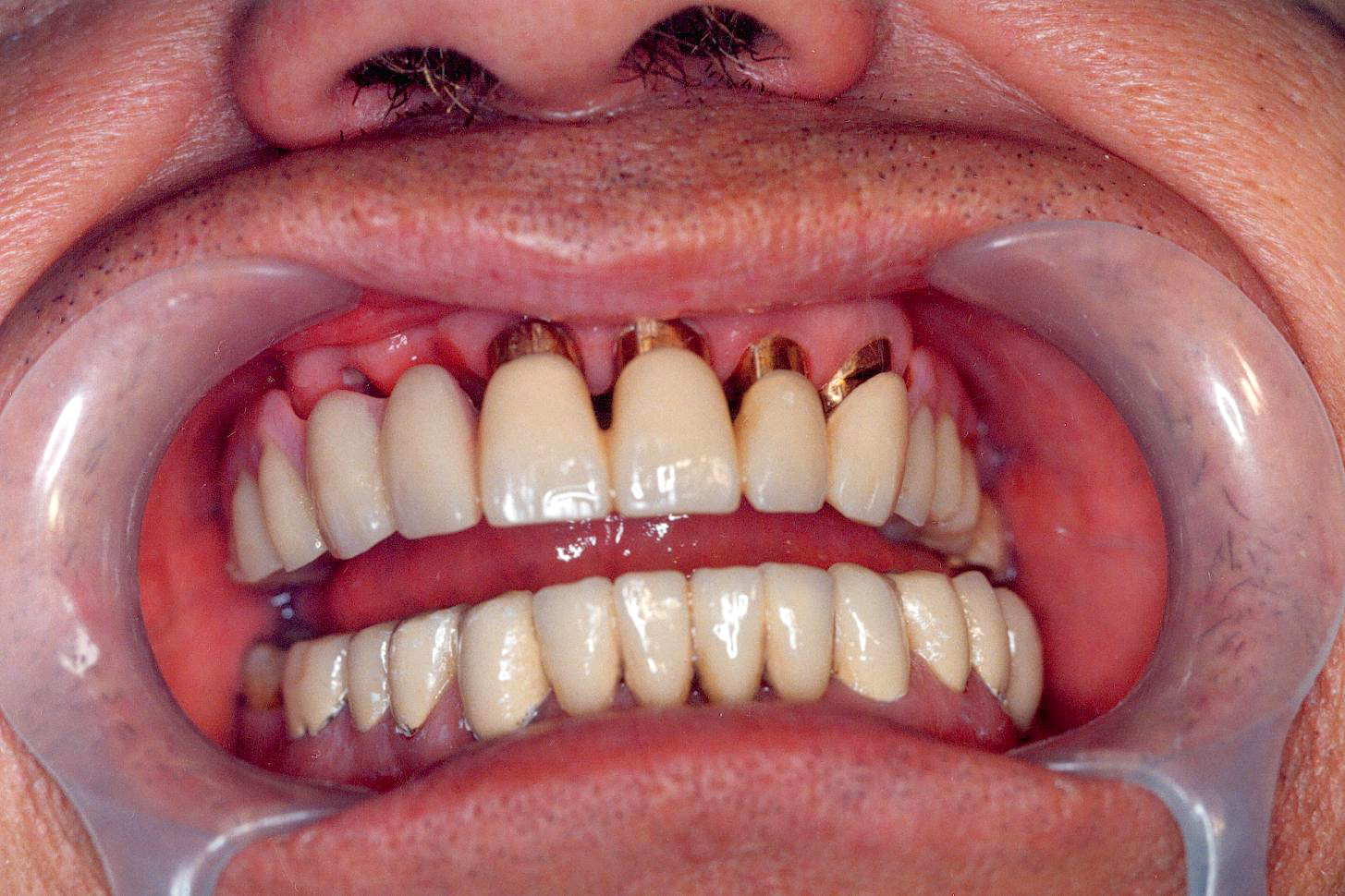
- תותבת טלסקופית בשלב ההכנסה לפה
- תותבת טלסקופית בפה






