ציפוי שיניים בתל אביב
אפשרויות הטיפול בשיניים קדמיות בלתי-אסתטיות מגוון, כפי שכבר ראינו. יחד עם זאת ישנם פגמים שעבורם הפתרון אינו הבהרה או במקרים קיצוניים יותר הכתרה של השן.
ציפוי הפגמים או השלמתם, כמו במקרה של שיניים שבורות, בחומרים בצבע השן מהווים פתרון אסתטי עמיד יותר ולטווח רחוק יותר.
מהם אפשרויות ההשלמה שברשותנו?
- השלמת השיניים באמצעות ציפויי שיניים חרסינה (ויניר).
- השלמה או ציפוי שיניים העשוי מחומר מרוכב (קומפוזיט).
השלמה באמצעות ציפויי חרסינה – ויניר (LAMINATES)
ציפויי הויניר הם למעשה, שכבה דקה של חרסינה, שעשוייה מאותו החומר המשמש לכתרים בצבע השן, אשר ברגע שהם מודבקים על השן הם מתפקדים ונראים כמו שן נורמלית לכל דבר. שחזורים אלה דורשים הסרה מועטה של חומר שן לשם קישורם, והם אסתטיים ביותר. באמצעות הציפויים ניתן לשנות צבע, צורה, גודל, וכן לסגור מרווחים ולטשטש שחיקת שיניים.
זהו טיפול אלטרנטיבי לכתר, והוא יקר יותר. לפני ההדבקה ישנה הכנה של השן על-מנת לפצות על העובי הנוסף של הויניר המודבק (כדי שהשן לא תבלוט יותר מדי). היות וההכנה של ציפוי הויניר נעשית במעבדה הטיפול דורש יותר מביקור אחד אצל הרופא. יתרון הויניר על-פני שחזור באמצעות חומרים מרוכבים(קומפוזיטים),הוא באורך חיים ארוך יותר וביציבות צבע גדולה יותר.
עבודה זו דורשת שיתוף פעולה גדול מאד בין הרופא לטכנאי, שכן היא מצריכה לא רק מיומנות מאד גבוהה של הרופא המטפל, אלא גם טכנאי מיומן ומקצועי בסוג עבודה שכזה.
מתי נשתמש בציפויי חרסינה?
- בשיניים עם פני שטח לא שווים.
- בשיניים חתוכות.
- בשיניים מוכתמות(באפן שלא ניתן להבהיר).
- בשיניים בעלי צורה משונה או יוצאת דופן.
- במרווחים בלתי-הרמוניים בין השיניים.
מתי נשלים או נצפה פגמים אסתטיים?
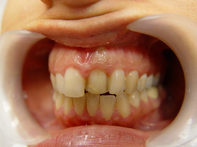
ציפוי שיניים שבורות
ציפוי במרווחים בין השיניים באזור הקדמי (דיאסטמה)
הפוגעים באסתטיקה ובחיוך של המטופל.
בעיני רבים רווח הקיים בין השיניים הקדמיות מסמל תכונות באישיות ויש אף כאלה המבקשים לפתוח שיניים ללא רווח כמו אצל אמנים בינלאומיים לדוגמא: מדונה, אדי מרפי ועוד..
אך, עם זאת מתרפאים המבקשים לסגור את המרווח ולקבל חיוך שלם ומושלם יכולים לקבל תוצאה אסתטית ופונקציונאלית באמצעות ציפויים.
ציפוי והשלמה כשברצוננו לשנות את צורת השיניים
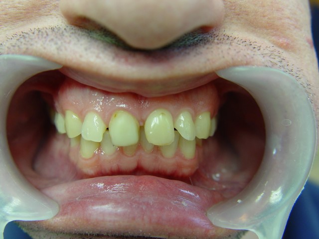
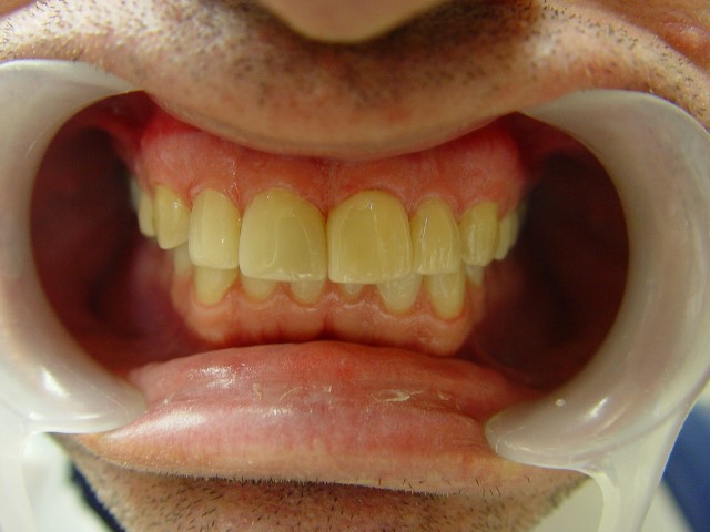
ציפוי שיניים מוכתמות
בשיניים מוכתמות (שלא ניתן להבהיר) שמקורן בצביעה פנימית כדוגמת הצביעה בגלל טטרציקלין.
במקרים שכאלה ניתן גם לעצב את החיוך מחדש כפי שנראה בתמונות.
השלמת כותרת בתמיכת פין פראפולפרי
במקרים מסוימים כאשר השבר הוא גדול והמטופל איננו מעוניין בביצוע ציפוי חרסינה, ניתן להוסיף תמיכה בצורת יתד אשר נותן עיגון נוסף לחלק המלאכותי שהוספנו לשן. במקרה שכזה ניתן להבטיח שההשלמה תחזיק שנים רבות. במקרה שלפנינו סתימה לבנה לא יפה שהפציינט ביקש להחליפה
ציפויים העשויים מחומרי קישור מרוכבים (קומפוזיטים)
בשנים האחרונות חלו שיפורים רבים בסוג החומרים והצבעים המשמשים את רופא השיניים בציפוי, בתיקון ובשחזור שיניים קדמיות. באמצעות הדור החדש של החומרים ניתן כיום לבצע שינוים ותיקונים בלי שהדבר כלל יורגש.
כאשר אנשים מדברים על "סתימות לבנות" הכוונה לחומרים מרוכבים(קומפוזיטים). בניגוד לציפויי הויניר התלויים במעבדה, חומרי הקישור המרוכבים יכולים להיעשות בפגישה אחת במרפאה. ההליך קרוי קישור (bonding), כיוון שהחומר שבו משתמשים נקשר לשן. ההשלמה בחומר מרוכב הינה הליך פשוט וזול למדי.
את חומר הקישור המרוכב המגיע בגוונים שונים לבחירה לפי צבע השן, ניתן לעצב וללטש על-מנת שיתאים לשיניים מסביב. חומר הקישור המרוכב משמש בין השאר כאלטרנטיבה אסתטית יותר לשחזורי אמלגם (כסופים), או להגנה על שורש שן שנחשף.
ההכנה:
כמעט ולא נדרשת הכנה לחומר המילוי המרוכב.לרב אין צורך במתן אלחוש, אלא אם השימוש הוא במטרה למלא חומר שן הנגועה בעששת עמוקה יותר. ההכנה נעה בין חספוס בלבד של פני שטח השן בעזרת חומר צריבה ועד להכנה במקדח בעיקר בשיניים עששתיות.
רופא השיניים יבחר את גוון הצבע המתאים לשן המטופלת ולשיניים הסמוכות באמצעות מפתח צבעים והקשיה של חתיכה מהחומר הנמצא מתאים על-מנת לאשר את הבחירה.
המעקב:
תה, קפה, סיגריות וחומרי צבע אחרים עלולים לגרום להכתמת השחזור. על-מנת להימנע מהכתמת ה"סתימה" יש למעט באכילה או בשתיה של מאכלים המכילים חומרי צבע במשך 48 שעות לפחות, משום שחומרי צבע אלה עלולים להכתים את הסתימה.
הסיכונים:
חומר הקישור המרוכב אינו חזק כמו שן טבעית.כסיסת ציפורניים או נגיסה בחומר קשה כדוגמת קרח או אף עטים עלולה להביא לסדיקה של החומר. החומר המרוכב בדרך כלל מחזיק מעמד מספר שנים לפני שיש להחליפו.משך הזמן שהוא למעשה יחזיק תלוי בכמות החומר ובהרגלים ההיגיינים שלך!
השלמת שן שבורה
תופעה שכיחה במקרי חירום ברפואת שיניים היא שבר שן קדמית אחת או יותר. הגורמים העיקריים לשברים בשיניים הם נפילות, תאונות דרכים, קטטות, חבלות ספורט ועוד..
לרוב הנפגעים הינם ילדים ובני נוער. החבלה בשיניים נגרמת עקב מכה בלסת, בסנטר או באופן ישיר בשיניים. אם השבר אינו נרחב ניתן לבצע השלמה מחומר קומפוזיט (שרף מרוכב), במקרים בהם הנזק האסתטי חמור יותר יש צורך בציפויי חרסינה ולעיתים אף בכתרים.
ברוב המקרים ניתן להגיע לתוצאה אסתטית משביעת רצון, בטיפול קצר יחסית ובעלויות לא גבוהות. כמובן שהדבר תלוי בגודל השבר בשן ובמיומנות הרופא המטפל.
מילואות שרף מרוכב מחרסינה ( Inlays/Onlays )
מה הן המילואות?
שחזורי האינליי והאונליי הדנטלים הינם, למעשה, סתימות יצוקות כחתיכה אחת בצבע השן המודבקות על השן או לתוכה. זאת בניגוד לסתימות הלבנות המבוצעות עם חומר בעל מרקם גמיש המוחדר לשן ורק אז עובר עיבוד והקשיה.
למה משמשות המילואות?
שחזורי האינליי או האונליי מושמים באותם במקרים שבהם אין מספיק חומר שן לביצוע "סתימה" רגילה או השן לא ניזוקה בצורה כזו שהיא זקוקה לכתר מלא שיכסה את כולה (הם טובים לשחזורים בינוניים עד גדולים). שחזור האונליי מכסה חלק נרחב יותר של השן. בניגוד לאינליי המכסה חלק ממשטח הלעיסה של השן ,האונליי יכול לכסות כמעט את כל משטח הלעיסה. השימוש העיקרי בהם ,כאמור, הוא בשיניים אחוריות. השימוש במילואות הוא לשם קבלת אסתטיקה טובה ושמירה על תלוליות של שיניים חלשות בפני שבירה,כמו לאחר טיפול שורש.כל זאת בתנאי שלמטופל תהיה היגיינה אוראלית תקינה.
ממה הם עשויים?
שחזורי האינליי יכולים להיות עשויים מזהב,מחומר פלסטי (חומר מרוכב) או מחרסינה. החומר הפלסטי והחרסינה הם בצבע השן, ולפיכך הם אסתטיים יותר,אם כי גם זהב יכול להיחשב אסתטי בתרבויות מסוימות . השחזור העשוי זהב משמש לרוב מקרים שבהם יש צורך בחוזק מיוחד והפן האסתטי חשוב פחות.
מהו משך הטיפול?
שחזורי האינליי והאונליי מבוצעים בדרך-כלל במעבדה, ולכן לשם ביצועם יש צורך בשתי פגישות לפחות. בפגישה הראשונה מוסרת העששת ומבוצעת הכנה של השן. עם סיום ההכנה נלקח מטבע של החלל הנוצר בשן וכן של השיניים הסמוכות. בסיום הפגישה סותמים את השן באמצעות סתימה זמנית. המטבע נשלח למעבדה לביצוע השחזור הדרוש. בפגישה השנייה נבדקת ההתאמה של השחזור היצוק שנתקבל מהמעבדה, הסגר מותאם ולבסוף מודבק השחזור לשן. הטיפול נותן תוצאה אסתטית גבוהה ביותר, אך חסרונו הוא בעלותו הגבוהה יחסית לסתימה רגילה.
למרות כל הנאמר, היום אנו מבצעים את אותו הטיפול בטכנולוגיה דיגיטלית חדשה. כאשר הטיפול כולו מסתיים בפגישה אחת.
סיווגים – ציפוי שיניים בתל אביב, ציפוי חרסינה לשיניים בתל אביב, ציפוי למינייט לשיניים בתל אביב, ציפוי קומפוזיט לשיניים בתל אביב, חיוך הוליוודי.






















