בשנת 1895 מדען גרמני בשם "וילהלם רנטגן" ערך ניסוי בשפורפרות ואקום עם מתח חשמלי וזיהה סוג חדש של קרינה שאותה כינה "קרינת 15 "X שנה מאוחר יותר שוכללה ההמצאה הידועה היום כצילום רנטגן, המצאה אשר זיכתה אותו בפרס נובל לפיזיקה. המצאה זו גרמה למהפכה בעולם הרפואה וההתפתחות בנושא מאז ועד היום שינתה את פני הרפואה.
גם ברפואת שיניים צילום רנטגן הוא אמצעי חשוב ביותר לצורך האבחנה וביצוע תכנית טיפול.
כאשר אנו מגיעים למרפאת שיניים סביר להניח שהרופא יבקש מאיתנו לבצע או להביא איתנו צילומים ממכון רנטגן. סוג הצילום תלוי בטיפול שאנו עומדים לעבור ובמצב השיניים.
ישנן מחלות הנראות בצילום ואינן נראות בהסתכלות ישירה בחלל הפה וישנן מחלות הנראות בהסתכלות ישירה של הרופא בחלל הפה ואינן נראות בצילומי הרנטגן, כך שצילומי רנטגן והבדיקה הקלינית משלימים זה את זה ואינם תחליף אחד של השני.
להל"ן סקירה של הצילומים ברפואת שיניים וצילומים בכלל:
1.צילומי נשך:
בדרך כלל נעשים במרפאת שיניים – זהו הצילום המראה את החלק הכותרתי של השיניים הטוחנות והמלתעות בשתי הלסתות באותו צילום (במקרים רבים,יספיקו לרופא שני צילומים קטנים המבוצעים במקום), הצילום מאפשר לנו לראות נגעי עששת בחלק בין השניים ועל גבי משטחי הלעיסה של השיניים! בדרך כלל צילום נעשה בבדיקה שיגרתית אצל מתרפאים ללא בעיות של נסיגת עצם וחניכיים וללא כתרים על השיניים! בשיניים שיש עליהם כתרים, צילום נשך לא יספיק לצורך האבחנה ולכן יש לעשות צילום מסוג אחר.
2.צילום פריאפיקאלי (PERIAPICAL)
זהו צילום בודד שנעשה במרפאת שיניים ומאפשר לראות את כל השן –כותרת והשורש וגם את הרקמה הקשה (עצם) סביב השורש.
צילום מסוג זה עושים בדר"כ בזמן טיפולי שורש , כאשר רוצים לבדוק האם ישנה דלקת סביב השורש או כאשר רוצים לבדוק את רמת העצם סביב השן.
3.צילום סטטוס:
זהו צילום שנעשה במכון רנטגן וכולל 14-18 צילומים פריאפיקלים המכילים את כל השיניים בפה.
צילום סטטוס נעשה בדרך כלל כאמצעי אבחנתי לאנשים שעוברים\עברו טיפול שיקומי בפה, אנשים שיש להם בעיית נסיגת עצם והחניכיים –הצילום מאפשר לראות את גובה העצם המאחזת את השיניים.
במקרים רבים רופא השיניים יבקש מכם להביא צילום סטטוס הכולל גם צילומי נשך בערכה אחת.
4. צילום סטטוס מקביליות:
במקרים רבים רופא השיניים יפנה אותך לבצע צילום "סטטוס מקביליות" . ובכן זהו בעצם הדבר האמיתי ולא צילום הסטטוס הרגיל..
הצילום בנוי מ 20 צילומים פריאפיקלים (בודדים), כאשר לצילום זה יצורפו תמיד גם 4 צילומי נשך.
בצילום זה משתמשים בפילים צר יותר לשיניים קדמיות ובכל צילום מתמקדים בשן אחת בלבד, בניגוד לסטטוס רגיל שבפילים אחד מתמקדים בכמה שיניים במקביל.
בצילום סטטוס מקביליות, הצילום עצמו מוחזק בפה באמצעות מכשור פלסטי נקי ,אסתטי וברוב המקרים אף סטרילי. הקרן ממוקדת ואינה מתפשטת לצדדים.
הצילום קרוי בשפה מקצועית "אורתורדיאלי" והוא בעצם כמו "צל" של השן , אמנם מוגדל אך ביחס דומה.
דמיינו עצמכם עומדים מול מראה בצורה ישרה ומה יקרה אם נטה את המראה לפנים או לאחור ?ודאי נראה חלקים בגוף מעווותים, רגליים קצרות, גוף ארוך וכו'. זהו בעצם ההבדל בין צילום סטטוס רגיל לבין צילום סטטוס מקביליות שעשוי נכון ומדוייק.
רופאי שיניים נוטים להפנות מתרפאים לבצע צילום סטטוס רגיל, כיוון שהתמונה המתקבלת סבירה לצרכים שיקומיים, קוסמטיים וכירורגיים בסיסיים ולומר את האמת, גם הם אינם מודעים תמיד היטב לחסרונותיו של צילום זה.
אמנם צילום סטטוס מקביליות יקר יותר, אך לדעתי ההשקעה שווה ללא כל ספק.
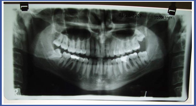
5.צילום פנורמי:
זהו צילום שנעשה במכון רנטגן ומכיל את שתי הלסתות ביחד. צילום פנורמי מראה לרופא את האנטומיה של הלסתות והשיניים בדו מימד. בצילום נראית האנטומיה של חלק מהגולגולת, החל ברצפת העין, מערות האף הלסתות, מפרקי הלסת ועוד.
הצילום נעשה בדרך כלל לפני עקירות שיני בינה- לצורך בדיקת קרבת השן לתעלת העצב, כמו כן לפני השתלות שיניים כאמצעי אבחנתי ראשוני הנותן לרופא מידע כללי לגבי מערות האף, גובה העצם ומיקום העצב. במקרים בהם קיימת פתולוגיה כלשהי (גידול, נגע, דלקת נרחבת) הצילום הוא אמצעי אבחנתי ראשוני מצויין.
6.צילום סי.טי (COMPUTERIZED TOMOGRAPHY)
צילום שנעשה במכון רנטגן. בצילום זה יש שימוש משולב בין קרני הרנטגן וסורק ממוחשב אשר באמצעות חישובים מורכבים מסוגל לקבוע באילו רקמות וכיצד תספג הקרינה.
ברפואת שיניים משתמשים בדרך כלל ב CT רגיל שמייצר "פרוסות" של הלסתות והשיניים ומאפשר לרופא לראות את האנטומיה המדוייקת של העצם , השיניים, הסינוס המקסילרי ותעלת העצב .
בדרך כלל צילומי CT נעשים בנוסף לצילום הפנורמי ולפני השתלות שיניים לצורך קביעת מיקום מדויק של השתל.
כמו כן, צילומים אלו מסייעים באיתור תהליכים דלקתיים וגידולים.
הריון וצילומי שיניים
טיפול שיניים במהלך ההריון הוא חשוב ביותר. נשים רבות מעדיפות לדחות טיפולים עד לאחר הלידה, אך זוהי דעה קדומה וחשוב שנזכור שהריון אינה מחלה ואין כל מניעה מטיפול שיניים בזמן הריון. כל זאת בהסתייגות ממקרים חריגים בהן צריך את אישור רופא הנשים.
טרימסטר 1:
יש להמנע מצילום רנטגן , אלא במקרי חירום ולאחר ייעוץ עם רופא הנשים ועם הגנה מקסימלית של הפציינטית.
טרימסט 2+3:
אין כל מניעה מביצוע צילומים עם הגנה מתאימה ואלא אם כן נתנו הנחיות אחרות ע"י הגניקולוג או רופא המשפחה.
האם צילומי רנטגן מסוכנים?
במרפאות שיניים הצילומים נעשים רק במידת הצורך. החשיפה לקרני הרנטגן בצילומי השיניים היא מזערית והנזק זניח לחלוטין. הנזק שיכול להגרם מחוסר טיפול עולה לאין שיעור מהנזק האפשרי (אם בכלל) מצילומי השיניים. להפחתת הנזק יש כמובן לנקוט בצעדי זהירות נאותים כמו מכונות צילום תקינות, מיקוד הקרן לאיזורי צילום מצומצמים וציוד מגן הולם.
כל מרפאת שיניים חייבת להחזיק רשיון בר תוקף ממשרד הבריאות עבור כל מכשיר רנטגן בנפרד.
הרשיון ניתן מדי שנה מחדש וניתן לבקש מרופא השיניים לראות את האישור (דומה לטסט שנתי לרכב).
ולאלו החוששים מכמות הקרינה של צילומי רנטגן במרפאת שיניים, אוסיף ואומר שמידת החשיפה לקרינה שמקבלים מצילומים דנטאליים לעומת קרינה "קוסמית" שמקבלים בחיי יום יום תפתיע וודאי רבים.
ובכן, מידת החשיפה ב 2 צילומי נשך, שווה לקרינה שמקבלים ב 10-24 שעות של חיים (תלוי בסוג הפילטר במכשיר) צילום סטטוס שווה לקרינה החיצונית שאנו סופגים בלי להיות מודעים אליה ב 2-5 ימי חיים, וצילום פנורמי 10-24 שעות של קרינה קוסמית.
ורק לצורך ההשוואה עם צילום חזה, ובכן: בכל צילום דנאלי קטן (נשך\פריאפיקלי) יש חשיפה של 1 חלקי 20 עד 1 חלקי 40 מהקרינה אליה חשופים בצילום חזה אחד ובצילום פנורמי יש חשיפה לעשירת מהקרינה שבצילום חזה אחד.









