Стоматология и мое здоровье https://amazing-smile.ussl.co.il Thu, 16 Mar 2017 10:21:30 +0000 ru-RU hourly 1 https://wordpress.org/?v=5.3.21 Рентгеновские снимки в стоматологии и не только https://amazing-smile.ussl.co.il/ru/%d1%80%d0%b5%d0%bd%d1%82%d0%b3%d0%b5%d0%bd%d0%be%d0%b2%d1%81%d0%ba%d0%b8%d0%b5-%d1%81%d0%bd%d0%b8%d0%bc%d0%ba%d0%b8-%d0%b2-%d1%81%d1%82%d0%be%d0%bc%d0%b0%d1%82%d0%be%d0%bb%d0%be%d0%b3%d0%b8%d0%b8/ https://amazing-smile.ussl.co.il/ru/%d1%80%d0%b5%d0%bd%d1%82%d0%b3%d0%b5%d0%bd%d0%be%d0%b2%d1%81%d0%ba%d0%b8%d0%b5-%d1%81%d0%bd%d0%b8%d0%bc%d0%ba%d0%b8-%d0%b2-%d1%81%d1%82%d0%be%d0%bc%d0%b0%d1%82%d0%be%d0%bb%d0%be%d0%b3%d0%b8%d0%b8/#respond Thu, 16 Mar 2017 10:21:30 +0000 https://amazing-smile.ussl.co.il/?p=14210 הפוסט Рентгеновские снимки в стоматологии и не только הופיע ראשון ב

]]>

Рентгеновские снимки в стоматологии и не только

В 1895 году немецкий ученый по имени Вильгельм Рентген провел опыт с вакуумной трубкой и электрическим напряжением и идентифицировал новый вид излучения, которое он назвал «излучением 15». Cпустя 10 лет изобретение было модифицировано, и в настоящее время оно известно как рентгеновские снимки. Благодаря этому своему изобретению, Рентген получил Нобелевскую премию по физике. Это изобретение произвело переворот в мире медицины и привело к прогрессу в вопросе диагностирования и построения программы лечения.
И в стоматологии тоже рентгеновские снимки являются важным средством для диагностирования и построения программы лечения.
Когда мы приходим в стоматологическую клинику, можно предположить, что доктор предложит нам выполнить или принести с собой снимки из рентгеновского кабинета. Тип снимков зависит от того, в каком лечении мы нуждаемся, и от состояния зубов.
Есть болезни, которые видны на снимке, но они не видны, когда врач заглядывает в рот к пациенту, и есть болезни, которые не видны на рентгеновском снимке, тогда и рентгеновские снимки, и клиническая проверка дополняют, но не заменяют друг друга.
Далее представлен обзор снимков в стоматологии и снимков вообще:

1. Снимки прикуса:

Обычно выполняются в стоматологической клинике – это снимок, который показывает коронки коренных зубов и клыков обеих челюстей на одном снимке (во многих случаях врачу будет достаточно двух маленьких снимков, выполненных на месте). Этот снимок позволяет нам увидеть кариозные полости в той части, которая расположена между зубами и на жевательных бороздках зубов! Обычно снимок делается во время обычной проверки у пациентов, у которых не существует проблем с рецессией костей и десен, а на зубах отсутствуют коронки! Если на зубах есть коронки, снимка прикуса будет недостаточно, и поэтому нужно выполнить рентгеновский снимок другого типа.


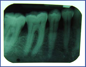
2. Прикорневой снимок (периапикальный)

Это отдельный снимок, который выполняется в стоматологической клинике и позволяет увидеть весь зуб – коронку и корень, а также твердые ткани (кость) вокруг зуба.
Снимки этого типа обычно выполняются во время лечения зубного корня, когда хотят проверить, существует ли воспаление вокруг корня или когда нужно выяснить высоту кости вокруг зуба.


3. Статусный снимок

Это снимок, который выполняется в рентгеновском кабинете и состоит из 14-18 периапикальных снимков, включающих все зубы, которые есть во рту.
Статусный снимок обычно выполняется в качестве диагностической меры в отношении людей, которые проходят/прошли реабилитацию полости рта; людей, у которых существует проблема отслоения костей и десен – снимок позволяет увидеть высоту кости, которая держит зубы.
Часто стоматолог попросит Вас принести статусный снимок, который включает также и снимки прикуса.

4. Параллельный статусный снимок: :

Во многих случаях стоматолог направит Вас на выполнение статусного снимка. Хотя это вообще-то серьезная вещь, а не обычный статусный снимок…
Снимок построен из 20-ти периапикальных (отдельных) снимков; к этому снимку всегда присоединяют и 4 снимка прикуса.

Для выполнения этого снимка используют более узкую пленку для передних зубов, и при выполнении каждого снимка продвигаются на один зуб, в отличие от обычного статусного снимка, при выполнении которого используется одна лента и выполняется продвижение на несколько зубов одновременно.

При выполнении статусного параллельного снимка сам снимок держится во рту с помощью чистого, эстетичного и часто даже стерильного пластикового приспособления. Луч сфокусирован и не распространяется в стороны.

Этот снимок на профессиональном языке называется «ортодонтическим» и вообще-то он как бы представляет собой «тень» зуба, но пропорционально увеличен.

Представьте себе, что Вы, выпрямившись, стоите напротив зеркала: что произойдет, если наклонять зеркало вперед или назад? Конечно, части тела будут выглядеть искаженными – короткие ноги, длинное тело и т. д. В этом и заключается разница между обычным статусным снимком и параллельным статусным снимком, выполненным правильно и точно.

Стоматологи имеют обыкновение направлять пациентов на выполнение обычного статусного снимка, потому что результат получается достаточно хорошего качества; подходит для основных реабилитационных, косметических и хирургических целей, и, если говорить честно, они не всегда осведомлены о недостатках этого вида рентгеновких снимков.

Хотя статусный параллельный снимок более дорогостоящий, но, по-моему, это вложение несомненно окупается.


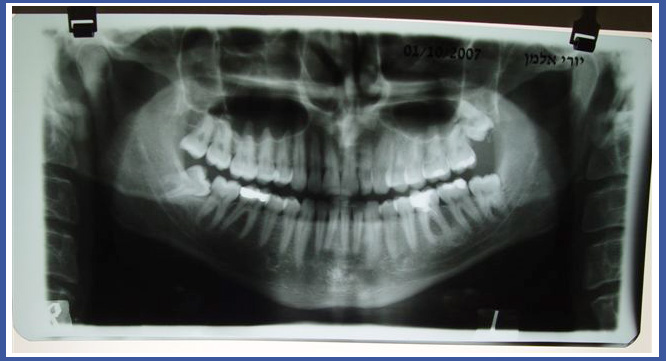
5. Панорамный снимок:

Это снимок, который выполняется в рентгеновском кабинете и включает обе челюсти сразу. Панорамный снимок показывает врачу анатомию челюстей и зубов в двухмерном измерении. На снимке видна и анатомия части черепа, начиная с глазного дна; носовые пазухи и челюсти, челюстные суставы и т. д.

Снимок обычно выполняется перед удалением зубов мудрости – для проверки близости зуба к нервному каналу, а также перед имплантацией зубов в качестве первичной диагностической меры, предоставляющей врачу общую информацию в отношении носовых пазух, высоты кости и расположения нерва. В тех случаях, когда существует какая-либо патология (опухоль, рана, распространившееся воспаление), снимок – это прекрасное первичное диагностическое средство.


5. Компьютерная томография
Этот снимок выполняется в рентгеновском кабинете. Для выполнения этого снимка используется сочетание рентгеновских лучей и компьютерного сканирования, которое с помощью сложных расчетов может определить, какими тканями и каким образом будет поглощаться излучение.

В стоматологии обычно используют обычную компьютерную томографию, которая производит «срезы» челюстей и зубов и позволяет врачу видеть точную анатомию кости, зубов, максилярного синуса и канала нерва.

Обычно снимки компьютерной томографии (СТ) выполняются в дополнение к панорамным снимкам и перед имплантациями зубов для того, чтобы определить точное место, где будет установлен имплантант.

Эти снимки также помогают определить наличие воспалительных и опухолевых процессов.


Беременность и рентгеновские снимки зубов

Лечение зубов во время беременности очень важно. Многие женщины предпочитают отложить лечение на время, чтобы продолжить его после родов, но это предубеждение, и важно помнить, что беременность – это не болезнь, и нет никаких препятствий в отношении стоматологического лечения во время беременности. Все это не касается экстремальных случаев, когда требуется разрешение гинеколога.

Первый триместр:
Нужно воздерживаться от выполнения рентгеновских снимков, их можно делать только в крайних случаях и после консультации с гинекологом и с обеспечением максимально возможной защиты пациентки.

Второй и третий триместр:
Нет никаких препятствий в отношении выполнения снимков с соответствующей защитой, кроме случаев, когда гинекологом или лечащим врачом были даны другие инструкции.

Опасны ли рентгеновские снимки?

В стоматологических клиниках снимки выполняются только в случае необходимости. Контакт с рентгеновскими лучами при выполнении снимков зубов минимальный, и вред почти не наносится. Вред, который может быть нанесен отсутствием лечения, во много крат больше потенциального вреда от рентгена (если таковой существует) зубов. Для уменьшения вреда нужно принимать меры предосторожности – например, аппаратура должна быть исправной, направлять луч на строго определенные участки и пользоваться соответствующими защитными приспособлениями.

В любой стоматологической клинике должна быть действительная лицензия Министерства здравоохранения на каждый из рентгеновских аппаратов по отдельности.

Лицензия выдается раз в год заново и можно попросить врача продемонстрировать ее (как годовой техосмотр автомобиля).
А для тех, кто боится дозы излучения, используемого при выполнении рентгеновских снимков в зубоврачебных клиниках, добавлю, что соотношение контакта с рентгеновским излучением относительно контакта с «космическим» излучением, которому мы подвергаемся ежедневно, удивит многих.

Количество излучения, которому пациент подвергается во время выполнения двух снимков прикуса, равно количеству излучения, которое мы получаем за 10-24 часа жизни (зависит от фильтра, установленного в приборе); при выполнении статусного снимка мы получаем столько же излучения, сколько получаем, не осознавая этого, за 2-5 дней жизни, а панорамный снимок – это 10-24 часа космического излучения.

И только для сравнения с рентгеновским снимком грудной клетки: при выполнении одного маленького стоматологического снимка (прикуса/ периапикального) пациент получает от одной двадцатой до одной сороковой от количества излучения, которую получает человек при выполнении снимка грудной клетки, а при выполнении панорамного снимка соотношение получаемого излучения составляет одну десятую от количества, которое получает человек при выполнении снимка грудной клетки.

הפוסט Рентгеновские снимки в стоматологии и не только הופיע ראשון ב

]]>
https://amazing-smile.ussl.co.il/ru/%d1%80%d0%b5%d0%bd%d1%82%d0%b3%d0%b5%d0%bd%d0%be%d0%b2%d1%81%d0%ba%d0%b8%d0%b5-%d1%81%d0%bd%d0%b8%d0%bc%d0%ba%d0%b8-%d0%b2-%d1%81%d1%82%d0%be%d0%bc%d0%b0%d1%82%d0%be%d0%bb%d0%be%d0%b3%d0%b8%d0%b8/feed/ 0
Мои анализы крови https://amazing-smile.ussl.co.il/ru/%d0%bc%d0%be%d0%b8-%d0%b0%d0%bd%d0%b0%d0%bb%d0%b8%d0%b7%d1%8b-%d0%ba%d1%80%d0%be%d0%b2%d0%b8/ https://amazing-smile.ussl.co.il/ru/%d0%bc%d0%be%d0%b8-%d0%b0%d0%bd%d0%b0%d0%bb%d0%b8%d0%b7%d1%8b-%d0%ba%d1%80%d0%be%d0%b2%d0%b8/#respond Thu, 16 Mar 2017 10:15:21 +0000 https://amazing-smile.ussl.co.il/?p=14208 הפוסט Мои анализы крови הופיע ראשון ב

]]>

Что о Вас говорит Ваша кровь?
С кем из нас не бывало, что мы беспомощно стояли и смотрели на лабораторный бланк с результатами анализов, заполненный цифрами и звездочками. В качестве зубного врача, занимающегося лечением людей различных возрастов, могу сообщить – в моей практике нет ни недели, когда бы ко мне в панике не обращался друг, пациент или родственник… с вопросом: о чем говорится в том или ином разделе бланка результатов его анализов?

В данном разделе в доступной форме собраны все общие объяснения о наших основных анализах, чтобы мы могли изучить результаты до того, как посетим врача, но, конечно, не вместо врачебной консультации.

Наши анализы крови говорят нам о том, как мы себя чувствуем. Кровь – это и есть «эликсир жизни», она состоит из красных и белых кровяных телец, тромбоцитов и других веществ, таких, как сахар, жиры, минералы и витамины. С помощью обычных анализов крови проверяется количество всех этих веществ в крови, и после сравнения со средними показателями, считающимися нормальными, можно придти к выводам о состоянии нашего здоровья. Раньше этот анализ считался страшным и болезненным, а сегодня его не боятся даже дети, потому что анализ крови берется короткой, тонкой иглой, и для его выполнения требуется всего один укол.

Так как же это делается?
Можно брать кровь из артерии, вены или из капилляра, но в большинстве случаев кровь берется из вены, находящейся на руке. Медсестра перетягивает руку над веной для того, чтобы замедлить возвращение крови из вены в сердце и таким образом предотвратить набухание вены. Иногда бывает необходимо проверить кислородное давление в артерии, тогда кровь берут из артерии, проходящей выше запястья. В определенных случаях существует необходимость получения небольшого количества крови, тогда ее берут из капилляра, расположенного на кончике пальца, с помощью маленькой иголочки. После того, как анализ был взят, пациент получает марлевую повязку и с ее помощью прижимает место укола на протяжении нескольких минут, пока не свернется кровь.

Реакция осаждения эритроцитов:
проверка, которая выполняется отдельно от общего анализа крови и биохимического анализа, во время которой проверяется темп осаждения красных кровяных телец в пробирке и их отделения от других веществ в крови спустя час.
Нормальные показатели: до 20 мм в час.
Высокие показатели: свыше 50 мм в час.
Быстрое осаждение свидетельствует о наличии какого-либо воспалительного процесса в организме, но не показывает причину такового (иногда это свидетельствует о наличии ракового заболевания).

Общий анализ крови (Complete Blood Count):
Это одна из основных и первичных проверок, которые осуществляются в больницах и в поликлиниках больничных касс.
Этот анализ дает информацию о наличии инфекций, воспалений, о наличии анемии и о других нарушениях. Нет никакого смысла в том, чтобы каким-то образом подготавливаться к проведению данного анализа; его результат в большинстве случаев получают через несколько часов после выполнения.

Лейкоциты (White Blood Cells):
Белые кровяные тельца – это одни из наиболее важных составляющих нашей иммунной системы, их функция заключается в том, чтобы бороться с различными инфекциями и раковыми клетками.
Нормальные показатели: колеблются от 4.300 и до 11.000 телец на кубический миллиметр крови.
Когда существует резкое увеличение количества белых кровяных телец, это свидетельствует о наличии какого-то воспалительного процесса, но не о его причине.
Высокие показатели: это называется «лейкоцитозом» и свидетельствует о наличии инфекции. Низкие показатели называются «лейкопенией» и свидетельствуют о дисфункции иммунной системы, а иногда и о раке крови.

Эритроциты (Red Blood Cells):
Красные кровяные тельца составляют собой большую часть клеточного состава крови; их функцией является перемещение гемоглобина, который является белком, отвечающим за перемещение кислорода в крови. Гемоглобин состоит из белков и железа. Кислород, который находится в легких, соединяется с гемоглобином и переносится в различные ткани тела по кровеносным сосудам.
Нормальные показатели: колеблются от 4,5 и до 5,3.
Высокие показатели: свидетельствуют о дисфункции в кроветворной системе. Высокие показатели можно наблюдать также и у тяжелых курильщиков, и у больных легочными заболеваниями.
Низкие показатели: свидетельствуют об анемии (недостаток железа, витамина В12), о других изменениях, связанных с приемом лекарств, с проведением химиотерапии и облучения.

Гематокрит (HCT):
Это объем красных кровяных телец в плазме крови.
Нормальные величины: колеблются между 35%-50%, существует разница между женщинами и мужчинами.
Низкие показатели: говорят о кровотечении или об анемии.

Гемоглобин (HB):
Гемоглобин – это белок, который находится в красных кровяных тельцах и переносит кислород в клетки тела.
Нормальные показатели:
Женщины – 6-12 милиграмм на децилитр (на 100 милилитров крови).
Мужчины – 12-18 милиграмм на децилитр.
Дети – 11-13 милиграмм на децилитр.
Избыток гемоглобина встречается редко, он называется «полицитемией» и может привести к инфаркту или к инсульту.
Низкие показатели: свидетельствуют об анемии. Это очень распространенное заболевание, которое может вызываться различными причинами (в таких случаях люди жалуются на слабость, головокружение, усталость и т. д.).

Тромбоциты (PLT, PLATELETS):
Это клетки крови, которые отвечают за её свертывание. Когда у человека есть рана, тромбоциты двигаются в эту область и высвобождают различные химические вещества. Этот процесс состоит из многих этапов, в результате которых создается сгусток крови.
Нормальные показатели: колеблются от 150.000 до 450.000 (количество клеток, умноженное на тысячу, на микролитр крови)
Низкие показатели: свидетельствуют о нарушении свертываемости крови и о тенденции к кровотечениям.
Высокие показатели: большое количество тромбоцитов может привести к образованию тромбов, в результате чего создается опасность инсульта или сердечного приступа. Они появляются в качестве реакции на различные болезни костного мозга.

Дифференциал
Отдельный анализ, отдельная формула, дифференциал: этот анализ является частью анализа крови, и он уточняет количества подвидов белых кровяных телец. В соответствии с количествами таковых можно предположить, о какой инфекции идет речь, включая подозрение о наличии раковых заболеваний.

Нейтрофилы (NEUT):
Это белые кровяные тельца, они отвечают за уничтожение микробов.
Нормальные показатели: колеблются от 28% до 54% от общего количества белых кровяных телец.
Низкие показатели (нейтропения): свидетельствуют о нарушении кроветворения и в редких случаях о раковых процессах.
Высокие показатели (нейтропения): свидетельствуют о бактериальной инфекции.

Лимфоциты (LYMPH):
Белые кровяные тельца, отвечающие за уничтожение вирусов, находящихся в теле продолжительное время.
Нормальные показатели: колеблются от 36% до 52%
(от общего количества белых кровяных телец).
Низкие показатели (лимфопения): свидетельствуют о нарушении кроветворения в результате болезней, влияющих на иммунную систему, например, таких, как СПИД.
Высокие показатели (лимфоцитоз): свидетельствуют о продолжительном вирусном или бактериальном заболевании или о раке лимфомы.

Моноциты (MONO,MONOCYTE):
Белые кровяные тельца, отвечающие за уничтожение микробов, вирусов и грибков.
Нормальные показатели: колеблются от 2% до 9% (от общего количества белых кровяных телец).
Низкие показатели (моноцитопения): появляются, когда имеют место нарушение производства клеток крови или раковые процессы.
Высокие показатели (моноцитоз): появляются, когда существуют раковые процессы, а также при мононуклеозе.

Базофилы (BASO, BASOPHIL):
Это белые кровяные тельца, участвующие в аллергических реакциях.
Нормальные показатели: колеблются от 0% до 10% (от общего количества белых кровяных телец).
Высокие показатели: свидетельствуют об аллергических тенденциях или об аллергическом приступе.

Эозинофилы (EOS, EOSINOPHIL):
Это белые кровяные тельца, которые борются с инфекциями и участвуют в аллергических реакциях.
Нормальные показатели: колеблются от 1% до 3% (от общего количества белых кровяных телец).
Высокие показатели: свидетельствуют о наличии серьезной аллергии.

Химический анализ крови (SMA , SMAc):
Это общее название, свидетельствующее о проверках, которые призваны продемонстрировать функционирование важных систем организма; когда проверяют химический состав крови, проверяют плазму, которую производят клетки организма.
Эта проверка важна для того, чтобы диагностировать различные болезни и для подбора эффективного лечения. Этот анализ выполняется после 8-часового поста, потому что различные виды пищи могут изменить химический состав крови и исказить результаты.

Альбумин (ALBUMIN):
Это наиболее высококонцентрированный белок в плазме крови, и он производится печенью.
Нормальные показатели: колеблются от 3,4 мг/дл до 5,4 мг/дл.
Низкие показатели: болезни печени, ожоги, почечные заболевания.
Плохое усвоение пищи свидетельствует о высоких показателях альбумина: свидетельствует об обезвоживании.

Глюкоза (GLUCOSE)
Это показатель, отражающий уровень сахара в крови и его концентрацию. Большая часть углеводов, которые мы потребляем, превращается в глюкозу.
Глюкоза перемещается по крови до тех пор, пока она хранится в клетках мышц в форме гликогена. Глюкоза обеспечивает доставку энергии в клетки организма.
Нормальные показатели: колеблются от 65-ти до 115-ти милиграммов на децилитр.
Низкие показатели: свидетельствуют о проблемах со здоровьем в результате слишком строгой диеты, о гормональных проблемах, опухоли, производящей большое количество инсулина, или инъекции большого количество инсулина у диабетиков.
Высокие показатели: могут вызвать подозрение о наличии диабета, гормональных проблем, воспаления поджелудочной железы или переедания.

Электролиты:
Показатели свидетельствуют о балансе солей и жидкостей в организме. Эти вещества необходимы для нормальной деятельности организма.
Частично они свидетельствуют и о функционировании почек.

Натрий – Na: 136-145 милиэквивалентов на литр.
Калий – К: 3,7 – 5,2 милиэквивалента на литр.
Br > хлор – Cl: 98 – 106 милимолей на литр.
Кальций – Ca: 8,5 – 10,9 милиграмм на децилитр.
Фосфат – P: 1-1,4 милимоля на литр.

У увеличения или понижения количества каждого из них есть свое медицинское значение: большое количество калия свидетельствует о почечной недостаточности. Недостаток кальция может вызывать усиленное мочеотделение у больных сердечной недостаточностью или повышенным давлением.

Избыток натрия может свидетельствовать о слишком высокой концентрации крови, иногда из-за обезвоживания. Избыток или недостаток кальция свидетельствует о болезни костей или заболевании щитовидной железы.

Жиры в крови:
Жиры – это жировые клетки, они используются для производства энергии, необходимой для выполнения жизненных процессов.
Высокий уровень жиров приводит к их скоплению в крови, и они могут вызвать болезни сердца и кровеносных сосудов. Следить за нормальным уровнем жиров важно не только для взрослых, но и для детей.
Профилактика может предотвратить появление осложнений в будущем.

Холестерин (CHOLESTEROL)
Это один из жиров, содержащихся в крови, который производится печенью. Его показатели свидетельствуют, кроме всего прочего, об опасности развития кардиологических заболеваний, болезней кровеносных сосудов и инсультов. Поэтому очень важно следить за нормальным уровнем холестерина и знать, какие показатели считаются нормальными. Всем органам нашего тела жизненно необходим холестерин.

Нормальные показатели: колеблются от 100 до 200 мг на децилитр плазмы.
Низкие показатели: вызываются гиперфункцией щитовидной железы, болезнями печени, неправильным питанием, недостатком витамина В12, инфекцией в крови и недоеданием.
Высокие показатели: могут являться показателем, свидетельствующем о риске развития атеросклероза, потому что жиры скапливаются на стенках кровеносных сосудов, перекрывают их и могут увеличивать риск появления тромбов. Уровень холестерина может повышаться во время беременности, проверяется также количество «хорошего» холестерина (HDL) и плохого (LDL) и соотношение между ними.

«Хороший» холестерин: он перемещает холестерин из клеток тела в печень, где он расщепляется. Таким образом, HDL способствует избавлению от излишков жиров.

Нормальный:
Мужчины: 29-62 мг на децилитр.
Женщины: 34-82 мг на децилитр.
Высокий:
В большинстве случаев безвредно. У женщин после наступления климакса уровень поднимается чуть выше обычного. Физическая активность тоже увеличивает уровень HDL.
Низкий:
Опасно: риск развития заболеваний сердца, диабета.
«Плохой» холестерин: разносит холестерин по различным тканям организма.
Нормальный: 60-160 мг на децилитр.
Высокий: риск развития заболеваний сердца
Низкий: плохое усвоение пищи, плохое питание.

Функции свертывания:
Проверка коагуляции включает три составляющих (PTT, PT,INR): в печени присутствуют различные белки, участвующие в сложном процессе свертывания крови.
В случаях заболеваний печени может пострадать способность крови к свертыванию. РТ (протромбин): протромбин может продлить время свертывания крови.
Нормальный: 11-13,5 секунд у здорового человека.
Высокий: может свидетельствовать о болезни печени или о нарушении коагуляции.
У людей, принимающих лекарства для разжижения крови, показатели будут высокими.
PTT (тромбопластин): дополнительный показатель, влияющий на коагуляцию.
Нормальный: 23-25 секунд.
Высокий: болезни печени, обширное кровотечение, нехватка факторов коагулляции.

INR -INTERNATIONAL NORMALIZED RATIO – показатель, придающий всем проверкам, производимым в разных лабораториях PT, единый масштаб.
Нормальный: 0,9 -1,4
Высокий: опасность кровотечений.
Низкий: опасность образования тромбов.

הפוסט Мои анализы крови הופיע ראשון ב

]]>
https://amazing-smile.ussl.co.il/ru/%d0%bc%d0%be%d0%b8-%d0%b0%d0%bd%d0%b0%d0%bb%d0%b8%d0%b7%d1%8b-%d0%ba%d1%80%d0%be%d0%b2%d0%b8/feed/ 0
Страх https://amazing-smile.ussl.co.il/ru/%d1%81%d1%82%d1%80%d0%b0%d1%85/ https://amazing-smile.ussl.co.il/ru/%d1%81%d1%82%d1%80%d0%b0%d1%85/#respond Thu, 16 Mar 2017 10:13:57 +0000 https://amazing-smile.ussl.co.il/?p=14206 הפוסט Страх הופיע ראשון ב

]]>

Страх

Страх – «стоматофобия»
Многих людей ужасает одна только мысль о визите к зубному врачу.
Многие женщины предпочтут родить, а мужчины предпочтут терпеть боль, но не пойдут к стоматологу… И вообще – в отношении стоматолога существует предубеждение – это человек, с которым лучше встречаться вне пределов его клиники.
Страх – это явление, распространенное как среди детей, так и среди взрослых, и обычно он представляет собой нормальную реакцию на опасность. Оказывается, девочки до 11-ти лет боятся сильнее, чем мальчики, а потом их страх с возрастом уменьшается. Не существует связи между возрастом, полом, профессией, происхождением или социоэкономическим статусом – многие люди все еще боятся ходить к стоматологам. В соответствии с данными статистики, около 20% граждан Израиля воздерживаются от лечения зубов и посещают стоматолога только в крайних случаях.
Страх перед зубными врачами называется «стоматофобией». Оказывается, это не просто страх: иногда он сопровождается тошнотой, рвотой и дрожью как до лечения, так и во время него. Как уже было сказано выше, это явление не является типичным для какой-то определенной категории населения: этой фобией страдают летчики и политики, врачи и адвокаты, многие из которых не ходят лечиться, потому что им стыдно быть уличенными в страхе.

Это тип «социального страха»: страха показаться смехотворным, страдающим, беспомощным перед врачом и персоналом (боязнь страха). Конечно, проще всего откладывать вещи, которые кажутся неприятными; и вот их откладывают и откладывают, и ходят к врачу только в крайних случаях, когда боль становится невыносимой.

Известно, что около полутора миллионов изральтян боятся зубных врачей. Часть из них приходит в ужас только от одной мысли о посещении клиники.
Так почему же мы боимся?

Некоторые люди могут рассказать о травматическом событии, которое они пережили в детстве у стоматолога, или когда их лечили силой и против их воли, так что память об этом происшествии жива долгие годы.
У других людей одна только мысль о пассивном лежании с открытым ртом и без возможности говорить или реагировать вызывает ощущение беспомощности или страха перед потерей контроля. Страх перед болью и непонятными механизмами, которые кажутся пугающими, отталкивает третьих.

Рот – это одно из самых интимных мест нашего тела. Это наш основной орган связи, и проникновение в него извне для многих людей кажется угрозой возможности продолжения человеческого существования на различных уровнях: мимика, дыхание, потребление пищи, контакт и любовь.
Что происходит с пациентом, который боится?
Пациент, который лежит и боится на протяжении получаса, испытывает настолько сильное физическое и душевное напряжение, что и после завершения лечения он будет чувствовать себя уставшим и изможденным. Возможно, у него будет болеть голова, мышцы спины и шеи и т. д. Дополнительные проявления: ускоренный пульс, быстрое дыхание и ощущение нехватки кислорода. Сомнительно, что такой пациент вскоре вернется к зубному врачу для продолжения лечения.
Обязанность зубного врача – идентифицировать такого пациента до начала лечения, потихоньку создать доверительные отношения и таким образом предотвратить нанесение морального ущерба.
Так что же делать?
См. также отдельный раздел «Лечение страха».
Существует множество медицинских подходов. Прежде всего, предпочтительно, чтобы человек, который боится лечения у стоматолога, посетил врача для проведения предварительной беседы. Удобная поза, чашечка кофе и знание того, что он пришел для того, чтобы поговорить, а не для того, чтобы лечиться, уже уменьшит страх. Такой человек придет по доброй воле, потому что он не будет чувствовать себя в опасности. Это будет ознакомительный визит, и между ним и врачом будут созданы доверительные отношения. После завершения данного этапа проводить лечение будет легче, и оно будет вовсе не таким «страшным».
Инъекция не должна решать вопрос страха, потому что ее функцией является уменьшение болевых ощущений. Со страхом невозможно справиться с помощью инъекции, потому что это поведенческое нарушение, и оно не контролируется. Если врач будет говорить: «Не бойтесь», – это не поможет. Он должен терпеливо объяснять и показывать.
Что может помочь зубному врачу уменьшить уровень страха, который испытывает пациент?
Rescue Remedy – капли эссенций цветов Баха для достижения душевного спокойствия и расслабления – белладонна и пульсатилла.
Веселящий газ – замечательный вариант лечения – этот газ помогает расслабиться. Это газ, разбавленный кислородом, который вдыхается человеком и помогает ему расслабить мышцы и почувствовать легкость. См. раздел «Борьба со страхом».
Не рекомендуется беременным женщинам и людям, страдающим болезнями легких.
Гипноз – это вид наркоза, выполняемый только лицензированным специалистом. Речь идет о физическом и ментальном расслаблении, позволяющем контактировать с подсознанием без вмешательства сознания. В состоянии гипноза можно «вернуть» человека назад во времени, таким образом, чтобы он смог снова пережить некое происшествие и даже изменить свое отношение к нему. Человек может понять, что его страх нерационален и является только ассоциативным, что может помочь ему избавиться от него.
Расслабление – вид лечения, требующий от врача специфических знаний; знаний, которые помогут нам расслабиться, освободить мышцы и почувствовать себя более комфортно с помощью медленного и образного мышления, похожего на сон.
Общий наркоз – это лечение, у которого есть как преимущества, так и недостатки, но для определенных людей это единственная возможность пройти стоматологическое лечение.
Преимущества: после проведения общего наркоза отсутствует боль и человек приходит в себя в течение нескольких часов. Усыпляющие газы впитываются в жировые ткани тела и попадают в кровоток, поэтому болевые ощущения слабее, относительно испытываемых при тех же процедурах, проводимых без выполнения общего наркоза. В тех случаях, когда это возможно, можно придти в себя после общего лечения рта, и можно поспорить о том, что в целом затраченные усилия окупаются.
Недостатки: один из недостатков в выполнении общего наркоза заключается в том, что когда выполняется эстетическая реабилитация рта, пациент в этом не участвует. Во время проведения эстетического лечения врачу легче добиться результатов, когда пациент сотрудничает с ним, открывая, закрывая и двигая челюсть и мягкие ткани вокруг, и, конечно, врач видит выражение его лица. Когда человек находится под общим наркозом, он пассивен, его мягкие ткани расслаблены и невозможно сделать так, чтобы движения челюсти и мягких тканей были естественными. А также, несмотря на безопасность, всегда существуют опасности уже в самом выполнении общего наркоза.
Успокоительные лекарства:

Холистическая медицина: успокаивающие ароматические масла, или осторожное раскачивание тела.

Многим стоматологам знакомо такое явление: когда люди, которые на протяжении долгих лет воздерживались от посещений зубоврачебной клиники, вдруг приходят, ведомые особой силой; обычно это происходит, когда у них не остается иного выбора. Они должны исправить некую эстетическую проблему, которую они долгие годы скрывали различными способами – не улыбались, делали особые движения ртом, отращивали усы или прикрывали рот ладонью.

Страх приведет к тому, что рот будет запущен, к болям, эстетическим проблемам и ненужным денежным затратам.
А если так, то давайте попробуем решить проблему за секунду до…

Это уже может стать достаточной причиной для того, чтобы преодолеть страх.

הפוסט Страх הופיע ראשון ב

]]>
https://amazing-smile.ussl.co.il/ru/%d1%81%d1%82%d1%80%d0%b0%d1%85/feed/ 0
Слюна и сухость во рту https://amazing-smile.ussl.co.il/ru/%d1%81%d0%bb%d1%8e%d0%bd%d0%b0-%d0%b8-%d1%81%d1%83%d1%85%d0%be%d1%81%d1%82%d1%8c-%d0%b2%d0%be-%d1%80%d1%82%d1%83/ https://amazing-smile.ussl.co.il/ru/%d1%81%d0%bb%d1%8e%d0%bd%d0%b0-%d0%b8-%d1%81%d1%83%d1%85%d0%be%d1%81%d1%82%d1%8c-%d0%b2%d0%be-%d1%80%d1%82%d1%83/#respond Thu, 16 Mar 2017 10:12:35 +0000 https://amazing-smile.ussl.co.il/?p=14204 הפוסט Слюна и сухость во рту הופיע ראשון ב

]]>

Слюна и сухость во рту
Слюнные железы – это часть внешней выделительной системы. У здорового человека повышенное слюноотделение происходит под влиянием таких внешних раздражителей, как определенная пища, запахи и даже мысли об определенной еде.

У человека существует три пары крупных слюнных желез, выделяющих слюну в полость рта.

Околоушные железы

Самые крупные, находятся под обоими ушами и выделяют серозную слюну.
Подчелюстные железы

Находятся под нижней челюстью с обеих сторон и выделяют серозную слюну.
Подъязычные железы

Находятся под языком и выделяют мукозную слюну.
В дополнение к этому, существуют дополнительные маленькие железы, находящиеся в различных участках полости рта – на нёбе, на щеках, на языке и на губах.
Серозная слюна – состоит из воды и белков и содержит энзим амилазу, который перерабатывает крахмал, содержащийся в пище.

Мукозная слюна – более густая, она смачивает пищу и сохраняет полость рта влажной.

Количество слюны, выделяемой за день одним человеком, составляет от одного до двух литров. Сухость во рту – это состояние, при котором во рту существует нехватка слюны – ее недостаточно для того, чтобы рот оставался влажным. Это состояние называется ксеростомией.
Функция слюны

Слюна омывает рот и смывает остатки пищи, которые могут служить пристанищем для микробов, способствующих развитию кариеса.
Она действует в качестве буфера для кислотно-щелочного баланса, уровень которого снижается после приема пищи, и тогда рот подвергается атаке микробов, способствующих развитию кариеса.
Слюна служит источником фторида и минералов, которые необходимы для процессов строительства и укрепления зубов.
Слюна способствует перевариванию пищи.

В слюне присутствуют антитела, и, таким образом, она предотвращает развитие воспалений и инфекций – контролирует количество бактерий и грибков во рту.

Слюна не течет во рту единым потоком. Существуют такие участки, как задняя часть языка, область нижних коренных зубов, где поток слюны более мощный и быстрый. И другие участки, такие, как те части щеки, которые находятся у верхних зубов, где поток слюны менее быстр, в результате чего бактериальный налет будет скапливаться в больших количествах там, где поток слюны слабее.
Слюна покрывает зубы и десны белковым слоем. Усиленное слюноотделение защищает от кислотности в большей степени, чем обычное слюноотделение в спокойном темпе.
Когда слюноотделение недостаточное, могут развиваться очаги кариеса или проникать инфекции или возникать другие воспаления. В дополнение к этому, сложнее будет пережевывать и глотать пищу, что затруднит процесс ее приема.

Пересыхание рта может привести к следующим проблемам:

проблемы с восприятием вкуса, жеванием, глотанием,
увеличение шансов развития кариеса и других воспалений.

Сухость во рту может свидетельствовать о следующих проблемах:
о наличии проблем со здоровьем или о болезни,
может быть результатом приема определенных лекарств.

Симптомы, которые могут свидетельствовать о сухости во рту, включают:
Клейкость и сухость во рту

Сложности с жеванием, с восприятием вкуса или с речью

Жжение во рту

Растрескавшиеся губы

Тяжелый и сухой язык

Ранки во рту

Воспаления во рту

Очаги кариеса и воспалений. Когда во рту недостаточно слюны, увеличивается темп развития очагов кариеса

Ощущение сухости в горле

Распространенные причины хронической сухости во рту:

побочный эффект приема лекарств:

Существует более 400 лекарств, которые приводят к уменьшению темпа выделения и к уменьшению количества слюны, выделяемой слюнными железами. В основном, такие проблемы вызывают лекарства, применяемые для лечения повышенного давления, страхов, депрессии или психоза. Антигистаминные препараты и лекарства, предназначающиеся для расслабления мышц, тоже могут вызвать сухость во рту.
Сухость во рту может быть вызвана облучением, выполняемым в области головы и шеи.
Болезни, влияющие на слюноотделение: синдром Сьогрена (заболевание, вызывающее сухость во рту или сухость глаз), бактериальные и вирусные воспаления, свинка (вирусное воспаление околоушных желез), несбалансированный диабет, камни в слюнных железах, опухоли и т. д.

Лекарства, используемые для химиотерапии, могут вызывать выделение более густой слюны, а в результате этого может появиться ощущение сухости во рту.
Стрессовые ситуации: депрессии, страх и стрессовые периоды жизни.
Хотя с возрастом увеличивается распространенность сухости во рту, это не является нормальным признаком приближающейся старости! Если Вы страдаете от сухости во рту, Вы должны посоветоваться со своим лечащим врачом или со стоматологом.

Далее представлены несколько советов для тех, кто страдает от сухости во рту:

Пейте больше воды в течение дня

Пользуйтесь бутылочкой с водным спреем, содержащим лимон для того, чтобы время от времени смачивать рот. Держите его в доступном месте на работе, дома и во время сна.
Жуйте жевательную резинку без сахара – она увеличивает темп выделения слюны и содержит ксилитол, который предотвращает появление кариеса.

Когда во рту ощущается жжение, теплая соленая вода или полоскание питьевой содой помогут облегчить состояние дискомфорта или боли.

Конфеты без сахара также усиливают темп слюноотделения.
В перерывах между трапезами жуйте пищу, которая содержит большое количество волокон, например, такую, как морковь и сельдерей.
Пользуйтесь электрической зубной щеткой.

Часто пейте во время приема пищи – это улучшит восприятие вкуса и облегчит процесс глотания.
Пользуйтесь антибактериальными жидкостями для полоскания рта, которые не содержат сахар или алкоголь.

Ешьте нежную пищу – не острую, не соленую, без густых соусов, которые смачивают пищу, употребляемую Вами.

Пейте напитки, не содержащие кофеина, потому что напитки, содержащие кофеин, вызывают ощущение сухости во рту.
Не пользуйтесь зубными пастами, содержащими лаурил натрия, который вспенивает пасту и раздражает десны.

Старайтесь потреблять меньше сладкого, липкого и содержащего сахар, потому что это повышает шансы развития кариеса.

Всегда чистите зубы после еды: таким образом Вы поспособствуете удалению остатков пищи из полости рта.

Существуют различные искусственные растворы, которые призваны заменить слюну, но это лечение ограниченное, временное и помогает далеко не во всех случаях.
Люди, носящие вставные зубы и страдающие от сухости во рту, более подвержены инфекциям и грибковым воспалениям из-за того, что грибки поселяются на пластиковых частях вставных зубов. Для того, чтобы избежать этого, оставляйте вставные челюсти на ночь в стакане с водой, в которую добавлено чистящее средство для зубных протезов.

Проверяйте, что именно является причиной сухости во рту: если она возникает вследствие приема лекарств, проконсультируйтесь с врачом о возможности замены данного лекарства на его аналог или пользуйтесь жидкостями, заменяющими слюну.

הפוסט Слюна и сухость во рту הופיע ראשון ב

]]>
https://amazing-smile.ussl.co.il/ru/%d1%81%d0%bb%d1%8e%d0%bd%d0%b0-%d0%b8-%d1%81%d1%83%d1%85%d0%be%d1%81%d1%82%d1%8c-%d0%b2%d0%be-%d1%80%d1%82%d1%83/feed/ 0
Жвачка – да или нет? https://amazing-smile.ussl.co.il/ru/%d0%b6%d0%b2%d0%b0%d1%87%d0%ba%d0%b0-%d0%b4%d0%b0-%d0%b8%d0%bb%d0%b8-%d0%bd%d0%b5%d1%82/ https://amazing-smile.ussl.co.il/ru/%d0%b6%d0%b2%d0%b0%d1%87%d0%ba%d0%b0-%d0%b4%d0%b0-%d0%b8%d0%bb%d0%b8-%d0%bd%d0%b5%d1%82/#respond Thu, 16 Mar 2017 10:11:17 +0000 https://amazing-smile.ussl.co.il/?p=14197 הפוסט Жвачка – да или нет? הופיע ראשון ב

]]>

Жвачка – да или нет?

Вы пробовали посмотреть на себя в зеркало, когда жуете жвачку?

Очаровательное зрелище… Не так ли?
Многие люди спрашивают себя, полезна или вредна жевательная резинка для здоровья рта и зубов?

Ответ: и да, и нет.
Жевание жвачки помогает очистить зубы от остатков пищи и микробов; жевание резинки также очень эффективно, когда мы находимся на работе или в любом другом месте, где мы не можем почистить зубы. Процесс жевания способствует усиленному выделению слюны (см. раздел «Слюна»), которая содержит антибактериальные вещества, и таким образом производится «автоматическое» промывание полости рта и очищение зубов.
У людей, страдающих от сухости во рту, жевание жвачки может стимулировать темп слюноотделения, что может облегчить неприятные ощущения.
Жевательная резинка придает ощущение свежести (Freshness), а также позволяет почувствовать хороший запах и вкус во рту.

Но, как и в других областях, здесь тоже не нужно доходить до фанатизма: жевание жвачки на протяжении длительного времени дает нагрузку на жевательные мышцы и на суставы челюсти, и в исключительных случаях даже может нанести ущерб, который будет выражаться в болях на участках, расположенных выше челюстных суставов, в болях в ушах и в области лица. Эти явления могут усугубляться до такой степени, что будет нарушен ход жизни, и все это в результате чрезмерного жевания жвачки.

В последние годы появились новые жвачки без сахара, в которых содержится фторид. Эти жевательные резинки содержат ксилитол (xilitol) – искусственный заменитель сахара, в отношении которого исследованиями было установлено, что вещество, содержащееся в нем, подавляет развитие микробов, вызывающих кариес.

Я рекомендую жевать только жевательную резинку без сахара, делать это после приема пищи, во время вождения, и на протяжении ограниченных периодов времени – 10-15 минут. Я лично рекомендую жевать жвачку в качестве десерта.
А как насчет конфет без сахара… они полезны или вредны для зубов?

В последнее время мы сталкиваемся с различными рекламами конфет, не содержащих сахара, которые полезны для зубов. Хотя еще не изобрели конфету, которая излечивала бы болезни десен или кариес, но некоторые конфеты без сахара могут сохранять здоровье рта и предотвращать развитие кариеса.
Оказывается, конфеты без сахара, также, как и жевательная резинка без сахара, влияют на слюнные железы и усиливают слюноотделение, и таким образом выполняется более качественное очищение и промывание рта. Почти все конфеты, не содержащие сахар, содержат «Изомальт» – а это вещество, призванное предотвращать развитие кариеса. Компания «Орбит» позаботилась о том, чтобы включить в свои конфеты вещество, обладающее бактериостатическим действием: «помогающее в предотвращении развития кариеса», по определению профсоюза стоматологов.
В любом случае, и тут, несмотря на то, что это диетические конфеты (около 10 калорий на одну конфетку), как и со жвачками, важно помнить, что не надо увлекаться и доходить до фанатизма.

Обратите внимание: эти конфеты нельзя разгрызать зубами, их нужно рассасывать.

הפוסט Жвачка – да или нет? הופיע ראשון ב

]]>
https://amazing-smile.ussl.co.il/ru/%d0%b6%d0%b2%d0%b0%d1%87%d0%ba%d0%b0-%d0%b4%d0%b0-%d0%b8%d0%bb%d0%b8-%d0%bd%d0%b5%d1%82/feed/ 0
Головная боль начинается с зубов https://amazing-smile.ussl.co.il/ru/%d0%b3%d0%be%d0%bb%d0%be%d0%b2%d0%bd%d0%b0%d1%8f-%d0%b1%d0%be%d0%bb%d1%8c-%d0%bd%d0%b0%d1%87%d0%b8%d0%bd%d0%b0%d0%b5%d1%82%d1%81%d1%8f-%d1%81-%d0%b7%d1%83%d0%b1%d0%be%d0%b2/ https://amazing-smile.ussl.co.il/ru/%d0%b3%d0%be%d0%bb%d0%be%d0%b2%d0%bd%d0%b0%d1%8f-%d0%b1%d0%be%d0%bb%d1%8c-%d0%bd%d0%b0%d1%87%d0%b8%d0%bd%d0%b0%d0%b5%d1%82%d1%81%d1%8f-%d1%81-%d0%b7%d1%83%d0%b1%d0%be%d0%b2/#respond Wed, 15 Mar 2017 22:29:41 +0000 https://amazing-smile.ussl.co.il/?p=14036 הפוסט Головная боль начинается с зубов הופיע ראשון ב

]]>

Головная боль начинается с зубов

У кого из нас иногда не болит голова, не сдавливает виски, не бывает боли в ушах или просто плохого общего самочувствия и усталости? Большинству из нас неизвестно, что, даже если боль не сосредотачивается в зубах, источником болей может быть наша жевательная система.

Известно, что молодые люди чаще страдают от головных болей, чем люди старшего возраста, а женщины чаще, чем мужчины.
Многие решают эту проблему с помощью болеутоляющего, и только небольшое количество людей обращается в клиники, чтобы попытаться обнаружить причину болей. Трудно поверить, но во многих случаях ключ к решению проблемы находится у стоматолога.
Доктор Джерри Саймон, ученый и стоматолог из Стэмфорда (штат Коннектикут), исследовал эту тему и даже написал книгу, которая называется «Прекратить головные боли сейчас же» (опубликована институтом «Воланс»). Он утверждает, что хронические головные боли во многих случаях вызываются проблемами прикуса. Это синдром смещения височно-нижнечелюстного сустава.

По обеим сторонам лица возле ушей находится челюстной сустав. Это сустав, который отвечает за движения нижней челюсти (мандибулы), и любое нарушение функционирования этого сустава или мышц, расположенных вокруг него, может повлиять на функционирование челюсти. А отсюда недалеко и до головных болей.
См. также раздел «Скрежетание зубами» в разделе “Шимушрон”


Сустав, который можно нащупать, если прикоснуться к участку перед ухом – это один из наиболее «работающих» суставов нашего тела и наиболее сложный сустав человеческого тела. Он выдерживает большие нагрузки не только когда мы едим, но и когда просто разговариваем, глотаем слюну и даже совершаем нежелательные движения во сне. Проблемы с зубами, болезни суставов, неподходящие вставные зубы или даже стрессы приводят к скрежетанию зубами, что может нарушить функционирование сустава.

Во рту у здорового человека 28 зубов, если не считать зубов мудрости. У этих зубов есть 68 точек соприкосновения, они соприкасаются между собой и соединяются в точности, как паззл. Когда что-то случается, например, прикус слишком тесный, движение челюсти нарушается, и она может сдвинуться со своего места.

Проблема при смещении височно-нижнечелюстного сустава – это проблема зубов, а челюсть при этом является жертвой этой проблемы. Люди, страдающие этой проблемой, с большей силой сжимают зубы и челюсть и тогда раздается «скрежет». Мозг подсознательно пытается улучшить или исправить прикус. Тогда создается давление на челюсть и на сустав. Это как раз и есть то самое состояние, которое приводит к головной боли.

Синдром смещенного ВНЧС, от которого страдает около четверти человечества, и о наличии которого этим людям ничего не известно, может приводить к болям в области шеи, лица, плеча и уха и создавать очень серьезный дискомфорт. Часто существуют дополнительные явления, такие, как раздражающие «щелчки», которые издаются челюстным суставом, невозможность широко раскрывать рот и «вывих челюсти» (смещение).

Бруксизм – это медицинский термин, означающий скрежетание зубами во сне или во время стресса. В большинстве случаев не возникает необходимости в проведении лечения, но иногда утром могут случаться головные боли, а днем могут быть нарушения функционирования челюсти и ощущение усталости.

Головные боли появляются после проведения продолжительного стоматологического лечения или после простого пломбирования, и они могут указывать на нарушения прикуса (высоко установленная пломба, неподходящая или высоко установленная коронка и т. д.).

Лечение:
Прежде всего, перед тем, как Вы пойдете к невропатологу, терапевту или психиатру, лучше обратиться к стоматологу, чтобы он установил, что Ваша проблема не связана с челюстным суставом или с зубами.

Стоматолог проведет детальный опрос по поводу болей, выполнит основательную проверку состояния зубов и их истирания, и тогда уже произведет клиническую проверку челюсти, включая проверку движения сустава. Он также установит, существует ли несимметричность движения челюсти при открывании, и в случае необходимости направит Вас на специальный рентген челюстного сустава.

Если диагноз однозначен, и головные боли происходят из-за жевательной системы, существуют следующие виды лечения:

1. Проверка и исправление прикуса в случае необходимости.
2. Упражнения на расслабление челюсти и физиотерапия.
3. Использование ночных колодок (пластиковой формы, которая надевается на ночь на зубы) и уменьшает давление на зубы.
4. В определенных случаях и успокоительные лекарства, расслабляющие мышцы.

В любом случае в таких ситуациях рекомендуется воздерживаться от таких привычек, как жевание резинки, обкусывание ногтей и мусоленье различных предметов между зубами

הפוסט Головная боль начинается с зубов הופיע ראשון ב

]]>
https://amazing-smile.ussl.co.il/ru/%d0%b3%d0%be%d0%bb%d0%be%d0%b2%d0%bd%d0%b0%d1%8f-%d0%b1%d0%be%d0%bb%d1%8c-%d0%bd%d0%b0%d1%87%d0%b8%d0%bd%d0%b0%d0%b5%d1%82%d1%81%d1%8f-%d1%81-%d0%b7%d1%83%d0%b1%d0%be%d0%b2/feed/ 0
Онкология и рак рта https://amazing-smile.ussl.co.il/ru/%d0%be%d0%bd%d0%ba%d0%be%d0%bb%d0%be%d0%b3%d0%b8%d1%8f-%d0%b8-%d1%80%d0%b0%d0%ba-%d1%80%d1%82%d0%b0/ https://amazing-smile.ussl.co.il/ru/%d0%be%d0%bd%d0%ba%d0%be%d0%bb%d0%be%d0%b3%d0%b8%d1%8f-%d0%b8-%d1%80%d0%b0%d0%ba-%d1%80%d1%82%d0%b0/#respond Wed, 15 Mar 2017 22:27:44 +0000 https://amazing-smile.ussl.co.il/?p=14034 הפוסט Онкология и рак рта הופיע ראשון ב

]]>

Онкология и рак рта

Онкология: отрасль, исследующая раковые заболевания

Написано с помощью профессора Офера Миримски, главного онколога, заведующего отделением мягких тканей и скелета в больнице «Ихилов».
Важно понять, что рак – это не одна болезнь, которая вызывается
единственным фактором, и поэтому ее лечат лекарствами разных типов. Известно более 200 типов рака, и у каждого из них есть собственное название, характеристики и соответствующее лечение.
Слово «рак» вызывает страх в каждом из нас. Оно становится еще более страшным, если мы знакомы с человеком, который заболел раком, а если этим человеком случайно оказывается член нашей семьи, наш страх становится более конкретным, и его присутствие в нашей жизни становится более ощутимым.

Что такое «рак»?
Органы и ткани тела построены из маленьких частичек, называющихся клетками. Большая часть клеток нашего тела обновляется посредством деления. Деление – это упорядоченный и контролируемый процесс, но, если по какой-либо причине этот процесс будет происходить неконтролируемо, клетки будут продолжать делиться и создастся комок клеток, который называется «опухолью». Опухоли могут быть доброкачественными или злокачественными, то есть раковыми.

Доброкачественная опухоль: это не рак!
Клетки доброкачественной опухоли не распространяются на другие части тела, и поэтому они не являются раковыми, но могут привести к нарушениям в результате давления, которое они создают на близлежащие органы.

Злокачественная (раковая) опухоль:
Эта опухоль состоит из клеток, обладающих способностью распространяться за пределы той области, где они образовались. Они могут проникать в близлежащие органы и разрушать их; могут перемещаться в отдаленные органы с кровотоком или через лимфатическую систему. Когда эти клетки попадают в новое место, они могут продолжить делиться и создать новую опухоль, называемую вторичной опухолью или метастазами.

אКак отличают доброкачественную опухоль от злокачественной?
Окончательный диагноз определяется в результате микроскопического анализа опухоли и ее иммуногистопатологических свойств.

Общие данные:
Данные вызывают беспокойство: один из каждых трех жителей Израиля на протяжении своей жизни заболеет раком. Одна из каждых восьми женщин заболеет раком груди, а один из каждых двенадцати мужчин – раком простаты. Каждый год обнаруживается 23.500 новых раковых больных, из которых выживет около 60%.
Из данных Министерства здравоохранения следует, что в настоящее время от рака ежегодно гибнет больше людей, чем от кардиологических болезней. Раковые заболевания у молодых людей встречаются редко; заболеваемость раком повышается с возрастом и достигает пика в возрасте 65-69 лет.

Факторы:

Факторы, приводящие к развитию болезни, известны только частично, они связаны с индивидуальными привычками, такими, как курение, нездоровое питание, отсутствие физической активности, пребывание на солнце и радиация вообще, контакт с различными вирусами, контакт с химическими или токсичными веществами, а также различные иные факторы, связанные с генетикой и наследственностью.
Наиболее существенным фактором опасности является курение. Около 100 миллионов человек погибло в мире в 20 веке в результате болезней, связанных с табаком. У курящего человека риск заболеть раком легких в 30 раз выше, чем у человека, который не курит. Пассивное курение тоже существенно увеличивает риск развития ракового заболевания.

Последствия химиотерапии и облучения на пространство рта:
У многих пациентов, которые вынуждены были проходить лечение от онкологических заболеваний, развиваются различные осложнения в полости рта. Наиболее распространенными осложнениями являются:
1. Болезненные язвенные воспаления, появляющиеся в результате изменения привычек питания и гигиены рта
2. Сухость во рту (xerostomia), появляющаяся в результате повреждения слюнных желез, изменение количества слюны, выделяемой в полость рта. В результате этого возможно появление воспалений, дурного запаха изо рта, речевых ограничений и даже кариеса.
3. Изменения вкусовых ощущений.
4. Воспаление десен и тканей языка и под ним.

Стоматология и рак:

Рак рта:

Оказывается, простая проверка у стоматолога может спасти жизнь!!
Полость рта – это действительно отражение всего нашего организма; посредством рта можно диагностировать тяжелые болезни на начальных стадиях и предоставить лечение, которое может спасти жизнь.

Хорошее здоровье в немалой степени зависит от здоровья полости рта. Инфекция или болезнь могут повлиять на отдаленные органы. Иногда можно даже диагностировать общие болезни посредством осмотра полости рта, если симптомы, наличествующие в полости рта, опережают появление других симптомов болезни.

Раком рта считается болезнь, проявляющаяся на следующих участках: на губах, деснах, языке, слизистой рта и глотке.
Этот вид рака выражается в появлении язв, которые сначала бывают очень маленькими, а когда они обнаруживаются, в течение двух-трех недель нужно сделать проверку, а не игнорировать их. Ткани рта должны быть целостными, а если что-то повреждает их, и это повторяется, это может быть признаком того, что начинает развиваться злокачественное заболевание.
Ранки на деснах, на небе, на внутренней поверхности щек, губ или языка должны встревожить как врача, так и пациента, потому что, возможно, речь идет о злокачественных опухолях (особенно когда они появляются у курильщиков и любителей спиртного).

Ранки или уплотнения, на протяжении длительного времени присутствующие в полости рта, могут свидетельствовать о наличии раковой опухоли. Раннее обнаружение важно тем, что своевременно предоставленное лечение может способствовать успеху процесса, и поэтому важно обращать внимание зубного врача в любом случае, когда у Вас возникают опасения.
Наиболее часто встречающийся вид рака в полости рта – это плоскоклеточная карцинома (squamous cell carcinoma).

Основные известные факторы – это курение сигарет и трубки, а также употребление алкоголя. Человек, который курит и пьет, подвергается более высокому риску развития рака в полости рта. У курильщика риск заболеть раком легких в 30 раз выше, чем у некурящего (в США эта разновидность рака является шестой по распространенности).
Факторы, вызывающие развитие данного заболевания:
5% из всех случаев раковых опухолей приходятся на полость рта и губы, и они возникают в том числе и из-за пребывания на солнце, курения и употребления алкоголя.

Симптомы:
Основными симптомами, которые могут свидетельствовать о появлении рака рта, – это язвы или уплотнения в полости рта, которые иногда бывают болезненными. Если уплотнение расположено на языке, оно может привести к затруднениям при глотании. Если уплотнение расположено на деснах, могут сдвигаться зубы, и на губах могут появляться ранки, похожие на язвы.

Способы лечения:

Важно подчеркнуть, что перед прохождением любого лечения, будь это химиотерапия или облучение, нужно посетить стоматолога и пройти основательную проверку для того, чтобы исключить всякую возможность того, что источник инфекции находится в полости рта.

И несмотря на это, если во время химиотерапии или облучения возникнет необходимость проникающего стоматологического лечения, врач-онколог выполнит анализ крови и направит пациента к стоматологу, порекомендовав профилактический прием антибиотиков.

Лечение рака в полости рта делится на три этапа:
1. Оперативное удаление опухоли
2. Облучение
3. Химиотерапия

Обычно лечение является хирургическим – удаление опухоли. Дополнительное лечение – это облучение раковых клеток; это лечение обычно выполняется когда болезнь прогрессирует. Инъекции химических веществ для разрушения раковых клеток (химиотерапия) менее распространены в случаях возникновения рака в полости рта. Как и в случаях рака в других органах, в случаях рака в полости рта раннее обнаружение существенно влияет на шансы больного на выздоровление. Шансы на выздоровление при обнаружении болезни на ранних стадиях составляют 80%-90%.

В исследовании, которое проводится в настоящее время в США (в калифорнийском университете UCLA), пытаются использовать слюну в качестве возможной диагностической жидкости для определения видов рака и других системных заболеваний. Предполагается, что белки, связанные с раком рта, могут переходить из тканей в слюну. Ученые смогли идентифицировать слюну раковых больных в 9 из 10 проб (было обнаружено, что курильщики вырабатывают в 4 раза больше белка (COX-2) в слизистой рта, чем некурящие).

Реабилитация:

Основное различие между лечением рака рта и лечением раковых опухолей, находящихся в других органах, – это влияние, оказываемое на внешний вид. Хирургическое удаление раковой опухоли часто приводит к искажению черт лица, и поэтому важно заранее подготовить человека к этому.
Дополнительный аспект – это изменение речевых возможностей, возникновение сложностей при потреблении пищи и при глотании у больных раком языка, когда возникает необходимость в частичной ампутации языка. В таких случаях люди нуждаются в помощи логопеда. Иногда возникает необходимость в восстановлении участка и в установке вставных зубов или имплантантов.

Профилактика:

1.Как известно, курение является фактором риска, вызывающим развитие рака рта, а сочетание курения с употреблением алкоголя приводит к существенному увеличению опасности. Так что, курильщики и выпивохи… обратите внимание! А тем, которые не могут сдержаться, рекомендуется не курить при детях, потому что многие исследования показывают, что пассивное курение плохо влияет на окружение вообще и на детей в частности.

В любом случае, если Вы курите, жуете табак или пьете алкогольные напитки, рекомендуется регулярно посещать стоматолога для проведения проверок и наблюдения.

2.Ограничение времени пребывания на солнце, использование солнцезащитных кремов, в том числе и для губ, а также ношение головного убора для того, чтобы затенять лицо, очень важны для предотвращения появления злокачественных опухолей.

3. Израильские исследователи показали, что ликопен (каротиноиды), содержащийся в помидорах, может задерживать развитие рака рта.

4.В исследовании, которое было проведено недавно, было установлено, что зеленый чай содержит антиоксиданты, и поэтому он может способствовать предотвращению развития рака, включая рак полости рта.

5. Здоровое питание, богатое фруктами и овощами, и без животных жиров, способствует предотвращению развития всех видов рака.

Мы, члены коллектива клиники, особенно внимательно относимся к этому вопросу, и иногда нам удавалось диагностировать раковые язвы на ранних этапах. Это привело к их быстрому излечению и в некоторых случаях даже спасло человеческие жизни.

הפוסט Онкология и рак рта הופיע ראשון ב

]]>
https://amazing-smile.ussl.co.il/ru/%d0%be%d0%bd%d0%ba%d0%be%d0%bb%d0%be%d0%b3%d0%b8%d1%8f-%d0%b8-%d1%80%d0%b0%d0%ba-%d1%80%d1%82%d0%b0/feed/ 0
Курение и кариес https://amazing-smile.ussl.co.il/ru/%d0%ba%d1%83%d1%80%d0%b5%d0%bd%d0%b8%d0%b5-%d0%b8-%d0%ba%d0%b0%d1%80%d0%b8%d0%b5%d1%81/ https://amazing-smile.ussl.co.il/ru/%d0%ba%d1%83%d1%80%d0%b5%d0%bd%d0%b8%d0%b5-%d0%b8-%d0%ba%d0%b0%d1%80%d0%b8%d0%b5%d1%81/#respond Wed, 15 Mar 2017 22:23:33 +0000 https://amazing-smile.ussl.co.il/?p=14032 הפוסט Курение и кариес הופיע ראשון ב

]]>

Курение и кариес

Что такое «курение»?

Курение – это привычка, от которой большинству курильщиков тяжело избавиться.

В результате определенной стимуляции курильщик чувствует потребность в том, чтобы закурить сигарету.

Каждому курильщику присущи характерные стереотипы курения и повторяющиеся движения. Курильщик-правша всегда будет держать сигарету в той же руке, а если попытается держать сигарету в левой, то будет утверждать, что у сигареты изменился вкус…

Движение, которым из пачки вытаскивается сигарета, прикуривание, угол рта, в котором всегда находится сигарета всегда будут повторяться и станут частью поведения этого человека.

Удивительно то, что большинство курильщиков знает, что курение наноситнеобратимый ущерб, и несмотря на это, они продолжаюткурить. Никотин сокращает кровеносные сосуды и нарушение кровоснабжение кожи. У тяжелых курильщиков появляется больше морщин, чем у некурящих, и выше шансы раньше поседеть. И, конечно, уже известно и доказано, что существует связь между курением и раком (см. часть «Онкология и рак» в разделе «Шимушрон»).
Вместе с тем, меньшинство осведомлено о вреде, наносимом пассивным курением (вдыханием сигаретного дыма от чужих сигарет)…
Оказывается, пассивное вдыхание дыма – это самое настоящее курение. Этот дым еще более ядовит, чем тот, который вылетает изо рта курильщика, потому что часть его остается в теле курильщика. Это причина, по которой многие страны западного мира, и Израиль вслед за ними, запретили курение в общественных местах.

Люди, находящиеся рядом с курильщиками, не всегда знают о том, что для них опасность заболеть раком легких более высока. Их шансы получить сердечный приступ более высоки, чем у тех, кто дышит чистым воздухом; у многих пассивных курильщиков также часто развиваются аллергические реакции и случаются астматические приступы.
Курение и шансы получить инсульт:

В исследовании, результаты которого были опубликованы в журнале американской кардиологической ассоциации, было обнаружено, что курящие женщины и женщины, которые замужем за курящими мужчинами, имеют более высокие шансы получить инсульт, чем некурящие, и чем женщины, которые замужем за некурящими мужчинами.
Во многих исследованиях уже было доказано, что пассивное курение может увеличить шансы развития кардиологических заболеваний. В данном исследовании ученые хотели выяснить, верно ли данное утверждение и в отношении инсультов. Исследователи выяснили, что курящие женщины, которые замужем за курящими мужчинами, имели в 6 раз более высокие шансы получить инсульт, чем женщины, чьи мужья не курят. По мнению исследователей, если есть желание уменьшить шансы получения инсульта, нужно обращать внимание не только на пациентов, но и на их супругов.

Исследователи в США обнаружили, что люди, в окружении которых есть курильщики, имеют большие шансы заболеть сахарным диабетом во взрослом возрасте. Исследование, которое проводилось в госпитале в штате Алабама на протяжении 15 лет, показало, что у 17% пассивных курильщиков развился сахарный диабет, тогда как у тех, кто не курил и не являлся пассивным курильщиком, риск развития данного заболевания составлял всего 12%. А вот еще одна причина, почему нужно запретить курение в общественных местах: это превращает некурящих людей в пассивных курильщиков.

Курение и здоровье рта:

Стоматологи, занимающиеся имплантациями, знают однозначно, что у курильщиков вероятность успешной имплантации существенно меньше, и поэтому они предпочитают воздерживаться от установки имплантантов тяжелым курильщикам. Курение также увеличивает риск развития рака глотки, языка, десен, губ и голосовых связок.

У курильщиков воспаления десен более серьезные; у них желтые зубы, которые хуже выглядят; большее количество зубного камня, и изо рта всегда исходят неприятные запахи.

До очищения
После очищения
Нажмите сюда

Курение беременных:
Эмбрион беременной женщины, которая курит, – это жертва отравления.
Довольно-таки широко распространены такие пороки, как дефекты в нервной системе, заячья губа и волчья пасть, врожденные пороки сердца и пищеварительной системы. Курение во время первых трех месяцев беременности увеличивает риск произвольного выкидыша, а курение на более поздних этапах беременности увеличивает шансы преждевременных родов и малого веса у новорожденного.

Курение ухудшает снабжение эмбриона кислородом и получение им питательных веществ; уменьшает возможности его роста и увеличивает выведение кальция из организма, а также выделение вещества, разрушающего витамин С.

А что насчет наших детей?

Дети особенно чувствительны, поэтому, когда они находятся рядом с курильщиками, у них немедленно ускоряется сердечный ритм и поднимается давление, как у активных курильщиков.

Дети курильщиков вдвое чаще попадают в больницу на первом году жизни в результате бронхитов и воспалений легких, чем дети некурящих родителей.
У подростков немедленное влияние выражается в появлении пятен на зубах и ногтях, появляется также дурной запах изо рта. Страдает также и половая функция.
Пассивное курение и кариес у детей:

Исследование, которое было проведено в нью-йоркском университете «Рочестер», выяснило, что пассивное курение увеличивает опасность возникновения заболеваний десен у взрослых, и что никотин увеличивает количество бактерий, вызывающих появление кариеса в полости рта.

Данное исследование занималось анализом данных, которые были собраны в 88-94 годах; в исследовании принимал участие 3531 ребенок в возрасте 4-11 лет. В крови более, чем половины из них, был обнаружен высокий уровень котинина – побочного продукта никотина, что свидетельствует о том, что эти дети являются пассивными курильщиками. Было обнаружено, что дети, в крови которых было обнаружено максимальное количество котинина, вдвое чаще страдали кариесом, чем дети, которые реже находились или вообще не находились рядом с курящими людьми.

Связь между пассивным курением и кариесом была сходной и тогда, когда в счет принимались такие факторы, как частота посещения стоматолога. Исследователи упомянули и курящих беременных женщин: по их словам, курение у беременных увеличивает шансы того, что у детей возникнут проблемы со здоровьем, что увеличит и риск развития у них кариеса.

הפוסט Курение и кариес הופיע ראשון ב

]]>
https://amazing-smile.ussl.co.il/ru/%d0%ba%d1%83%d1%80%d0%b5%d0%bd%d0%b8%d0%b5-%d0%b8-%d0%ba%d0%b0%d1%80%d0%b8%d0%b5%d1%81/feed/ 0
СПИД и гепатит https://amazing-smile.ussl.co.il/ru/%d1%81%d0%bf%d0%b8%d0%b4-%d0%b8-%d0%b3%d0%b5%d0%bf%d0%b0%d1%82%d0%b8%d1%82/ https://amazing-smile.ussl.co.il/ru/%d1%81%d0%bf%d0%b8%d0%b4-%d0%b8-%d0%b3%d0%b5%d0%bf%d0%b0%d1%82%d0%b8%d1%82/#respond Wed, 15 Mar 2017 21:47:51 +0000 https://amazing-smile.ussl.co.il/?p=14030 הפוסט СПИД и гепатит הופיע ראשון ב

]]>

СПИД и гепатит

И в настоящее время, спустя годы после открытия вируса, являющегося возбудителем СПИДа, все еще распространено невежество в отношении этой болезни; я как врач-стоматолог, лечащий людей разного возраста, до сих пор слышу множество вопросов и наблюдаю страх в отношении стоматологического лечения и опасение заразиться инфекционными заболеваниями на приеме у стоматолога.

В США этот страх так силен, что многие люди воздерживаются от стоматологического лечения и приходят только в крайних случаях. Многие приходят в стоматологическую клинику и приносят с собой набор одноразовых стоматологических инструментов для врача; они приобретают эти наборы в аптеке и только тогда чувствуют себя спокойно.

Хотя в таких случаях не нужно чрезмерно пугаться. В клинике, где царит порядок, и которая признана Министерством здравоохранения, обычно все в порядке со стерилизацией и гигиеной. Так, во всяком случае, должно быть!!
Опасность заразиться вирусным гепатитом в стоматологической клинике намного выше, чем опасность заразиться СПИДом, поэтому важно, чтобы все мы были осведомлены об этих двух болезнях, и о том, как от них защититься.

Стоматологу, который собирает анамнез так, как это следует делать (сбор начинается с медицинской анкеты, которую пациент заполняет во время своего первого визита), в большинстве случаев известно о возможных инфекционных болезнях, которыми может страдать пациент. В любом случае, возможны ситуации, когда пациенту неизвестно о наличии у него болезни, поэтому врач должен принимать все возможные меры для стерилизации и гигиены, чтобы защитить себя и пациентов клиники.

AIDS

Что такое СПИД, что такое HIV?
СПИД – синдром приобретенного иммунодефицита – это вирус, который повреждает иммунную систему организма, и её функционирование начинает все более ухудшаться; таким образом, ухудшаются способности организма бороться с тяжелыми болезнями. Когда человек борется с этим вирусом, он становится его носителем. Период, на протяжении которого человек является носителем вируса, продолжается несколько лет, а потом человек заболевает. Когда ухудшаются способности организма бороться с различными инфекционными заболеваниями, здоровье постепенно ухудшается, что может привести к отказу различных систем организма и, в конечном итоге, к смерти.

Каковы симптомы?
Период вирусоносительства может продолжаться долгое время, даже годами, и внешние симптомы не будут заметны. Когда симптомы болезни начинают становиться заметными, это выражается в увеличенных лимфатических узлах, в грибковых заболеваниях, кожных новообразованиях, в тяжелых воспалениях легких, в похудании и, конечно, в различных болезненных проявлениях в полости рта.

СПИД и его проявления в полости рта:

У СПИДа бывает множество проявлений в полости рта; иногда они даже являются первичными проявлениями болезни. Болезнь проявляется в результате ухудшения деятельности иммунной системы, и включает в себя:

Грибковые заболевания в виде участков белого или красного цвета во рту (например, на боковых участках языка).
Болезнь десен, сопровождающаяся появлением язв.
Вирусные заболевания, приводящие к появлению ранок в полости рта (по форме они похожи на цветную капусту).

Ранки на боках языка (выглядят, как белые участки, похожие на волоски).

Новообразования, которые характеризуются плоскими участками сиренево-красного цвета на мягком небе и на деснах.

Как происходит заражение?
Вирус СПИДа не может существовать вне человеческого тела, вне тела он распадается. Из этого следует, что заразиться СПИДом через воздух, пищу, кашель, рукопожатие, употребление немытой пищи, плавание в бассейне, пользование уборной или любой другой внешний контакт невозможно.

Четыре основных способа заражения:

Незащищенный половой контакт с носителем СПИДа
Вирус присутствует в семенной жидкости и в вагинальных выделениях, поэтому существует опасность заражения даже в результате однократного сексуального контакта. Понятно, что, чем больше количество контактов, тем выше опасность заражения.

Переливание крови:
В Израиле не существует опасности заражения через переливание крови, потому что вся донорская кровь проходит тестирование. В других странах, в которых не принято проверять донорскую кровь, все еще существует опасность заражения через переливание зараженной крови.

Пользование зараженными шприцами и иглами:
Пользование зараженными шприцами и иглами позволяет вирусу попасть прямиком в кровь. Количество людей, которые заражаются таким образом, увеличивается как на Западе, так и в Израиле. Таким образом заражение происходит у тех, кто употребляет наркотики внутривенно.

Переход от матери к эмбриону:
Кровоток матери и эмбриона общий, поэтому существует опасность того, что младенец, который будет рожден у матери, являющейся носительницей СПИДа, тоже будет носителем. В дополнение к этому, вирус может перейти от матери к младенцу посредством кормления грудью.

Я желтый? Ты желтый!

Что такое «желтуха»?
Желтуха – это болезнь, при которой больной выглядит желтым; это происходит от избытка билирубина – это вещество, находящееся в красных кровяных тельцах, и оно высвобождается, когда красные кровяные тельца разрушаются.

Что приводит к заболеванию желтухой?

Гепатит не всегда заразен
Желтуха может быть вызвана инфекционными факторами, такими, как вирус, или механическим фактором, не являющийся заразным, таким, как новообразование или камень, перегородивший желчный проток. У человека, страдающего недостатком энзима G6PD (чувствительностью к бобам), например, употребление в пищу бобов может привести к такому явлению. У новорожденных часто встречается физиологическая желтушка, которая вызывается тем, что их печень до сих пор не готова и не может расщеплять ненужные вещества. Поэтому важно, чтобы мы умели отличать механическую желтуху от инфекционной.

Что такое «воспаление печени»?
Воспаление печени (гепатит) – это распространенный вид заболевания печени, которое может быть вызвано химикатами, лекарствами, алкоголем и вирусами. Воспаление печени может сопровождаться желтухой, оно может протекать бурно, может быть острым или хроническим. Важно понять, что желтуха и воспаление печени – это не синонимы, и поэтому воспаление печени не всегда приводит к желтухе!

Сколько видов гепатита существует?
Существует несколько видов вирусного воспаления печени (А, B, C, D, E, F) в соответствии с типом вируса, вызывающего заболевание. Самый распространенный вид заболевания – вирусный. Человеку, больному острым воспалением печени, может очень быстро понадобиться пересадка печени. Из совершенно здорового человека больной может быстро стать совсем больным; иногда его печень может разрушиться, а иногда он даже может погибнуть. К счастью, переход из состояния острого воспаления в бурное происходит крайне редко, и в большинстве случаев функция печени восстанавливается.

Цирроз печени:
Это окончательный результат хронического воспаления печени любого типа: печень сжимается, уменьшается и плохо функционирует.

Симптомы болезни:
От этого умирают?
В большинстве случаев от этого выздоравливают, но иногда состояние ухудшается настолько, что в конце концов печень разрушается полностью и возникает необходимость ее траснплантации. Человеку, больному острым воспалением печени, может потребоваться пересадка в течение нескольких дней или недель. Во время этого периода, периода бурного воспаления, смертность высока. Но, как уже было сказано выше, переход из состояния острого воспаления в бурное происходит чрезвычайно редко. Обычно печень начинает функционировать лучше, больной выздоравливает, и у него появляется иммунитет к болезни, либо воспаление становится хроническим (в основном, это происходит с гепатитом В), иногда воспаление печени проходит так легко, что больной даже не замечает, что был болен. Это часто случается при заболевании гепатитом А, им часто болеют дети, и при гепатитах типа С, котрым болеют представители всех возрастов. Проблема гепатита С в том, что болезнь становится хронической в большей части случаев, и на протяжении нескольких лет, пока человек ничего не знает, болезнь разрушает его печень, пока из «здорового» состояния человек быстро не становится «нездоровым». Трудно сказать, станет ли легкое воспаление тяжелым и как скоро, поэтому лечат даже легкое воспаление печени.

Гепатиты типа А
Болезнь вызывается вирусом, и она может выразиться в плохом самочувствии вообще, в жаре, слабости, тошноте, потере аппетита, в болях в животе; в пожелтении кожи и конъюнктивы глаз.

Пути передачи заболевания:
Вирус выделяется с калом, и поэтому болезнь может передаваться через грязные руки, пищу или воду. Источником заражения могут стать больные, находящиеся в инкубационном периоде болезни; больные, у которых уже можно заметить симптомы болезни или люди, у которых болезнь проходит так легко, что симптомы ее незаметны вообще. Болезнь более распространена в тех районах, где плохо с гигиеной.

Профилактика заболевания:
Соблюдение навыков гигиены
Вода только из известных источников
Еда только в заведениях, находящихся под санитарным контролем
Прививка от болезни предназначается для людей, которые не болели данной болезнью и едут в одну из стран, где она распространена; прививка предназначается, в основном, для тех, кто в процессе поездки будет контактировать с местным населением (рюкзачники); людей, употребляющих тяжелые наркотики, или активных гомосексуалистов

Гепатиты типа В
Вирус может привести к воспалению печени, симптомы которого похожи на симптомы гепатитов А. Болезнь может протекать в скрытой форме, и в большинстве случаев она проходит без лечения. Человек, который является носителем болезни и у которого не проявляются симптомы болезни, может заразить других.

Пути передачи:
Вирус находится в жидкостях тела, например, в крови, слюне и сперме. Передача вируса становится возможной в следующих случаях: при контакте с зараженной кровью, в основном, при использовании грязных игл; при передаче от матери к новорожденному во время родов; во время сексуальных отношений и при совместном проживании.

Профилактика заболевания:
Избегать контакта с кровью или с другими выделениями.
Не использовать иглы повторно.
Не делать татуировки, пирсинг, иглоукалывание и т. п. в местах, где не соблюдается стерилизация оборудования.
Не пользоваться чужими бритвенными станками и зубными щетками.
Не практиковать секс без презервативов с меняющимися партнерами.
Сделать прививку.
Прививка от данного заболевания предназначается для следующих категорий населения: работников системы здравоохранения; больных, получающих переливания или продукты крови; наркоманов, употребляющих наркотики посредством инъекций; активных гомосексуалистов; семей носителей вируса; людей, едущих в страны, где распространено данное заболевание.

Гепатиты типа С
Данное заболевание вызывается вирусом; его симптомы похожи на симптомы вирусных гепатитов типа А и В. Эта болезнь является основной причиной пересадок печени.

Пути передачи:
Вирус передается через зараженную кровь, в основном, через повторно использованные иглы, используемые для инъекций наркотиков; заболевание легко передается через переливание крови и непроверенные продукты крови.

Профилактика заболевания:
Носителям или больным гепатитом С запрещено сдавать донорскую кровь (в любом случае в банке крови делаются проверки, чтобы убедиться в том, что кровь не была «по ошибке» сдана бессимптомным носителем вируса). Люди, пользующиеся наркотиками, тоже должны избегать пользования общими иглами. К тому же рекомендуется, чтобы такие носители или больные уведомляли своего партнера о наличии у них заболевания; рекомендуется также пользоваться презервативами во время половых сношений.
В отличие от гепатитов типа А и В, от гепатитов С не существует вакцины.

הפוסט СПИД и гепатит הופיע ראשון ב

]]>
https://amazing-smile.ussl.co.il/ru/%d1%81%d0%bf%d0%b8%d0%b4-%d0%b8-%d0%b3%d0%b5%d0%bf%d0%b0%d1%82%d0%b8%d1%82/feed/ 0
Стоматологическое лечение у системных больных https://amazing-smile.ussl.co.il/ru/%d1%81%d1%82%d0%be%d0%bc%d0%b0%d1%82%d0%be%d0%bb%d0%be%d0%b3%d0%b8%d1%87%d0%b5%d1%81%d0%ba%d0%be%d0%b5-%d0%bb%d0%b5%d1%87%d0%b5%d0%bd%d0%b8%d0%b5-%d1%83-%d1%81%d0%b8%d1%81%d1%82%d0%b5%d0%bc%d0%bd/ https://amazing-smile.ussl.co.il/ru/%d1%81%d1%82%d0%be%d0%bc%d0%b0%d1%82%d0%be%d0%bb%d0%be%d0%b3%d0%b8%d1%87%d0%b5%d1%81%d0%ba%d0%be%d0%b5-%d0%bb%d0%b5%d1%87%d0%b5%d0%bd%d0%b8%d0%b5-%d1%83-%d1%81%d0%b8%d1%81%d1%82%d0%b5%d0%bc%d0%bd/#respond Wed, 15 Mar 2017 21:44:02 +0000 https://amazing-smile.ussl.co.il/?p=14028 הפוסט Стоматологическое лечение у системных больных הופיע ראשון ב

]]>

Стоматологическое лечение у системных больных

Самое важное объяснение для пациентов, страдающих болезнями сердца –
д-р Арье Фридланд – главный кардиолог, институт кардиологии, больница «Тель ха-Шомер»

Прежде всего, важно понять, что такое «болезнь сердца»:
«кардиологические заболевания» – это часто встречающиеся болезни, у них есть разные причины. Болезнь сердца может происходить из-за повреждения любой из анатомических частей сердца или совмещать несколько таких повреждений.

Болезни сердца делятся на две основные группы:
а. Врожденные болезни сердца
б. Приобретенные болезни сердца

Врожденные болезни сердца:
Это болезни, которые появляются во время развития эмбриона, они могут происходить из-за врожденного порока развития или появиться в результате влияния факторов внешней среды или инфекции во время беременности. Большинство пороков можно определить на раннем этапе с помощью ультразвукового обследования. Основная часть пороков диагностируется ближе к родам, и часть таковых (по мере необходимости) лечится в раннем возрасте с помощью хирургического вмешательства или посредством установки специальных приборов. Другая часть пороков обнаруживается случайно и, в основном, не требует немедленного вмешательства. Распространенными пороками являются дефекты в строении клапанов или каналов между разными отделами сердца.

Приобретенные болезни сердца:
Болезни, повреждающие сердце после рождения. Эти болезни вызываются разными факторами: инфекциями, травмами, другими болезнями, вторично нарушающими функционирование сердца: коронарной болезнью сердца (нарушающей функционирование артерий, снабжающих сердце кровью), болезнями клапанов. Среди приобретенных болезней, более всего распространенных среди людей в возрасте за 35, коронарная болезнь сердца, которой страдает более 25% населения. Она выражается следующими нарушениями:
Ангина пекторис (стенокардия)
Сердечная недостаточность
Сердечные приступы
Дополнительное распространенное повреждение клапанов сердца может быть вызвано вторичной инфекцией или врожденными пороками, которые были поздно обнаружены, и атрофией клапанов.
Еще одно распространенное кардиологическое заболевание, вызываемое такими болезнями, как высокое давление. В каждой из этих категорий есть больные, которые носят в себе «инородные тела»:

Искусственные механические клапаны или клапаны, сделанные из биологических тканей,
Сердечные стимуляторы и дефибрилляторы (электронные приборы, состоящие из электрода, который помещается в полость сердца и упорядочивает пульс), стенты, расположенные внутри коронарных артерий или в крупных кровеносных сосудах.
А что происходит в стоматологической клинике?

Каждый кардиологический больной должен уведомлять стоматолога о состоянии своего здоровья, а стоматолог решит, каков наилучший и самый безопасный способ успешного лечения; это позволяет как пациенту, так и врачу сохранять душевное спокойствие.
Далее следуют часто задаваемые вопросы на тему стоматологического лечения кардиологических больных:

1. Представляет ли стоматологическое лечение опасность для кардиологических больных?
В принципе, все кардиологические больные, вне зависимости от того, является ли их болезнь первичной или вторичной, могут получать стоматологическое лечение при условии, что они находятся в стабильном состоянии. Важно, чтобы каждый человек, имеющий проблемы с сердцем, вне зависимости от причины, осознавал суть своей болезни. Важно сообщать стоматологу о сути своей болезни и о принимаемых медикаментах.

2. Нужно ли Вам принимать предварительные меры предосторожности перед прохождением стоматологического лечения
Да! Желательно, чтобы кардиологический больной носил с собой письмо от лечащего врача, в котором перечисляются его диагнозы и список лекарств, которые он принимает. Существуют лекарства, которые могут повлиять на процесс лечения, а есть такие лекарства, прием которых надо прекратить перед прохождением инвазивного лечения, например, препараты, разжижающие кровь («Аспирин», «Комедин», «Синтром», «Флавикс»).
Прием «Комедина» и болезни десен:
«Комедин» не вызывает болезни десен, но у пациентов, которые принимают это лекарство, болезни десен могут усугубиться, поэтому большую важность имеет гигиена полости рта и десен, а также регулярные посещения специалиста по гигиене рта. Болезнь десен представляет собой фактор риска для кардиологических больных, существует также опасность инфаркта, поэтому стоматолог часто бывает вынужден удалять больные зубы, чтобы предотвратить распространение инфекции.

В случаях кровотечения из десен, ощущения неприятного вкуса во рту и плохого запаха изо рта нужно срочно обратиться к стоматологу для проверки.
3. Опасности, существующие для кардиологических больных, проходящих стоматологическое лечение.
Прежде всего подчеркнем, что кардиологические больные, состояние которых стабильно, могут проходить любое стоматологическое лечение. Опасности, существующие для кардиологических больных, делятся на следующие категории:
а. Инфекции в сердечных клапанах
б. Реакция на медикаменты
в. Помехи, создаваемые работе медицинских приборов, имплантированных в сердце.

3-а. Является ли опасность заражения общей и одинаковой для всех?
Нет! Опасность заражения зависит от вида проводимого лечения, от существующих у пациента болезней и от их серьезности. Существует разница между лечением, представляющим низкий уровень опасности и лечением, представляющим высокий уровень опасности; также существует разница между больными, для которых лечение представляет небольшую опасность, и больными, для которых лечение представляет большую опасность, в зависимости от существующих у них заболеваний. Если лечение представляет собой опасность средней степени, врач будет вынужден принять взвешенное решение, и обычно это означает принятие серьезных предварительных мер.

Лечение, представляющее собой низкую опасность: лечение, при котором не затрагиваются ткани и не ожидается обильного кровотечения, такое, как, например, пломбирование, установление ортодонтических скоб и т. д.

Лечение, представляющее собой большую опасность:
лечение, во время которого существует опасность массивного кровотечения:
Глубокая очистка зубов
Удаление зубов
Лечение зубного корня
Лечение десен
Любое хирургическое лечение, включая установку имплантантов
Внутрисвязочный наркоз

Больные, которым не угрожает большая опасность:
1. Больные после операции по исправлению врожденного порока сердца, например ASD, VSD, при котором не пострадало функционирование сердца.
2. Больные после инфаркта миокарда
3. Больные после катетеризации и установки стентов
4. Больные после шунтирования
5. Больные легкой формой пролапса митрального клапана MVP
6. Больные, у которых установлен кардиостимулятор

Больные, которым угрожает большая опасность:

1. Больные после операции по замене клапанов на механические или биологические, вне зависимости от расположения клапана

2. Происшедшее ранее заражение тканей сердца – эндокардит
3. Больные с врожденными цианотичными пороками, включая также и прошедших хирургическое лечение
4. Больные, страдающие серьезным вторичным заболеванием клапанов

Возможно ли предотвратить проникновение инфекции?

Да! В большинстве случаев. Отсюда следует важность уведомления врача и осведомленности в отношении своего кардиологического заболевания.
Существует простое профилактическое решение:

Прием препарата «Моксипен» (Moxipen 2GR) за час до прохождения лечения. Нет необходимости в приеме дополнительной дозы лекарства после завершения лечения, кроме тех случаев, когда врач пропишет дополнительную дозу.

Люди, чувствительные к пенициллину, должны будут принять Clindamycin 600мг за час до начала лечения. В данном случае также нет необходимости в приеме дополнительной дозы лекарства после завершения лечения, если врач не велит иначе. Понятно, что в обоих случаях потребуются объяснения врача и, конечно, получение рецепта.

3. Реакция на лекарства:

а. В большинстве случаев нет проблемы в том, чтобы получить инъекцию для местного наркоза. Вместе с тем, людям, страдающим повышенным давлением, сердечной недостаточностью, коронарной болезнью после инфаркта, шунтирования или установления стентов, не рекомендуется пользоваться наркозом, содержащим адреналин, потому что его функцией является сужение кровеносных сосудов, и он может привести к повышению давления и к учащению пульса.
б. Есть стоматологи, которые воздерживаются от лечения людей, принимающих лекарства, влияющие на свертываемость крови («Аспирин», «Комедин», «Синтром», «Флавикс»). Поэтому, как уже было сказано, нужно уведомить об этом стоматолога, и он решит, будет ли он заниматься Вашим лечением. В случае, если врач не согласен лечить Вас, не надо сердиться на него, очевидно, это к лучшему, и в таком случае Вы всегда сможете пройти стоматологическое лечение в больнице.

3-в. Внешние помехи
а. Для тех больных, в чьих телах находятся имплантированные приборы, упорядочивающие сердечную деятельность, например, такие, как сердечный стимулятор или дефибриллятор, существуют «внешняя» опасность, она исходит от некоторых приборов, вырабатывающих электромагнитное поле. Поэтому обязательно нужно проконсультироваться со стоматологом о том, какой вид лечения Вам предстоит получить, и о том, как он повлияет на имплантированный Вам прибор.

б. После имлантации такого прибора, как стимулятор или дефибриллятор, рекомендуется получить четкие инструкции от персонала клиники по нарушениям сердечного ритма в отношении стоматологического лечения

הפוסט Стоматологическое лечение у системных больных הופיע ראשון ב

]]>
https://amazing-smile.ussl.co.il/ru/%d1%81%d1%82%d0%be%d0%bc%d0%b0%d1%82%d0%be%d0%bb%d0%be%d0%b3%d0%b8%d1%87%d0%b5%d1%81%d0%ba%d0%be%d0%b5-%d0%bb%d0%b5%d1%87%d0%b5%d0%bd%d0%b8%d0%b5-%d1%83-%d1%81%d0%b8%d1%81%d1%82%d0%b5%d0%bc%d0%bd/feed/ 0