Рентгеновские снимки в стоматологии и не только
В 1895 году немецкий ученый по имени Вильгельм Рентген провел опыт с вакуумной трубкой и электрическим напряжением и идентифицировал новый вид излучения, которое он назвал «излучением 15». Cпустя 10 лет изобретение было модифицировано, и в настоящее время оно известно как рентгеновские снимки. Благодаря этому своему изобретению, Рентген получил Нобелевскую премию по физике. Это изобретение произвело переворот в мире медицины и привело к прогрессу в вопросе диагностирования и построения программы лечения.
И в стоматологии тоже рентгеновские снимки являются важным средством для диагностирования и построения программы лечения.
Когда мы приходим в стоматологическую клинику, можно предположить, что доктор предложит нам выполнить или принести с собой снимки из рентгеновского кабинета. Тип снимков зависит от того, в каком лечении мы нуждаемся, и от состояния зубов.
Есть болезни, которые видны на снимке, но они не видны, когда врач заглядывает в рот к пациенту, и есть болезни, которые не видны на рентгеновском снимке, тогда и рентгеновские снимки, и клиническая проверка дополняют, но не заменяют друг друга.
Далее представлен обзор снимков в стоматологии и снимков вообще:
1. Снимки прикуса:
Обычно выполняются в стоматологической клинике – это снимок, который показывает коронки коренных зубов и клыков обеих челюстей на одном снимке (во многих случаях врачу будет достаточно двух маленьких снимков, выполненных на месте). Этот снимок позволяет нам увидеть кариозные полости в той части, которая расположена между зубами и на жевательных бороздках зубов! Обычно снимок делается во время обычной проверки у пациентов, у которых не существует проблем с рецессией костей и десен, а на зубах отсутствуют коронки! Если на зубах есть коронки, снимка прикуса будет недостаточно, и поэтому нужно выполнить рентгеновский снимок другого типа.
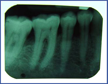
2. Прикорневой снимок (периапикальный)
Это отдельный снимок, который выполняется в стоматологической клинике и позволяет увидеть весь зуб – коронку и корень, а также твердые ткани (кость) вокруг зуба.
Снимки этого типа обычно выполняются во время лечения зубного корня, когда хотят проверить, существует ли воспаление вокруг корня или когда нужно выяснить высоту кости вокруг зуба.
3. Статусный снимок
Это снимок, который выполняется в рентгеновском кабинете и состоит из 14-18 периапикальных снимков, включающих все зубы, которые есть во рту.
Статусный снимок обычно выполняется в качестве диагностической меры в отношении людей, которые проходят/прошли реабилитацию полости рта; людей, у которых существует проблема отслоения костей и десен – снимок позволяет увидеть высоту кости, которая держит зубы.
Часто стоматолог попросит Вас принести статусный снимок, который включает также и снимки прикуса.
4. Параллельный статусный снимок: :
Во многих случаях стоматолог направит Вас на выполнение статусного снимка. Хотя это вообще-то серьезная вещь, а не обычный статусный снимок…
Снимок построен из 20-ти периапикальных (отдельных) снимков; к этому снимку всегда присоединяют и 4 снимка прикуса.
Для выполнения этого снимка используют более узкую пленку для передних зубов, и при выполнении каждого снимка продвигаются на один зуб, в отличие от обычного статусного снимка, при выполнении которого используется одна лента и выполняется продвижение на несколько зубов одновременно.
При выполнении статусного параллельного снимка сам снимок держится во рту с помощью чистого, эстетичного и часто даже стерильного пластикового приспособления. Луч сфокусирован и не распространяется в стороны.
Этот снимок на профессиональном языке называется «ортодонтическим» и вообще-то он как бы представляет собой «тень» зуба, но пропорционально увеличен.
Представьте себе, что Вы, выпрямившись, стоите напротив зеркала: что произойдет, если наклонять зеркало вперед или назад? Конечно, части тела будут выглядеть искаженными – короткие ноги, длинное тело и т. д. В этом и заключается разница между обычным статусным снимком и параллельным статусным снимком, выполненным правильно и точно.
Стоматологи имеют обыкновение направлять пациентов на выполнение обычного статусного снимка, потому что результат получается достаточно хорошего качества; подходит для основных реабилитационных, косметических и хирургических целей, и, если говорить честно, они не всегда осведомлены о недостатках этого вида рентгеновких снимков.
Хотя статусный параллельный снимок более дорогостоящий, но, по-моему, это вложение несомненно окупается.
- OLYMPUS DIGITAL CAMERA
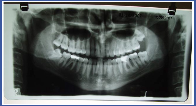
5. Панорамный снимок:
Это снимок, который выполняется в рентгеновском кабинете и включает обе челюсти сразу. Панорамный снимок показывает врачу анатомию челюстей и зубов в двухмерном измерении. На снимке видна и анатомия части черепа, начиная с глазного дна; носовые пазухи и челюсти, челюстные суставы и т. д.
Снимок обычно выполняется перед удалением зубов мудрости – для проверки близости зуба к нервному каналу, а также перед имплантацией зубов в качестве первичной диагностической меры, предоставляющей врачу общую информацию в отношении носовых пазух, высоты кости и расположения нерва. В тех случаях, когда существует какая-либо патология (опухоль, рана, распространившееся воспаление), снимок – это прекрасное первичное диагностическое средство.
- OLYMPUS DIGITAL CAMERA
5. Компьютерная томография
Этот снимок выполняется в рентгеновском кабинете. Для выполнения этого снимка используется сочетание рентгеновских лучей и компьютерного сканирования, которое с помощью сложных расчетов может определить, какими тканями и каким образом будет поглощаться излучение.
В стоматологии обычно используют обычную компьютерную томографию, которая производит «срезы» челюстей и зубов и позволяет врачу видеть точную анатомию кости, зубов, максилярного синуса и канала нерва.
Обычно снимки компьютерной томографии (СТ) выполняются в дополнение к панорамным снимкам и перед имплантациями зубов для того, чтобы определить точное место, где будет установлен имплантант.
Эти снимки также помогают определить наличие воспалительных и опухолевых процессов.
- OLYMPUS DIGITAL CAMERA
Беременность и рентгеновские снимки зубов
Лечение зубов во время беременности очень важно. Многие женщины предпочитают отложить лечение на время, чтобы продолжить его после родов, но это предубеждение, и важно помнить, что беременность – это не болезнь, и нет никаких препятствий в отношении стоматологического лечения во время беременности. Все это не касается экстремальных случаев, когда требуется разрешение гинеколога.
Первый триместр:
Нужно воздерживаться от выполнения рентгеновских снимков, их можно делать только в крайних случаях и после консультации с гинекологом и с обеспечением максимально возможной защиты пациентки.
Второй и третий триместр:
Нет никаких препятствий в отношении выполнения снимков с соответствующей защитой, кроме случаев, когда гинекологом или лечащим врачом были даны другие инструкции.
Опасны ли рентгеновские снимки?
В стоматологических клиниках снимки выполняются только в случае необходимости. Контакт с рентгеновскими лучами при выполнении снимков зубов минимальный, и вред почти не наносится. Вред, который может быть нанесен отсутствием лечения, во много крат больше потенциального вреда от рентгена (если таковой существует) зубов. Для уменьшения вреда нужно принимать меры предосторожности – например, аппаратура должна быть исправной, направлять луч на строго определенные участки и пользоваться соответствующими защитными приспособлениями.
В любой стоматологической клинике должна быть действительная лицензия Министерства здравоохранения на каждый из рентгеновских аппаратов по отдельности.
Лицензия выдается раз в год заново и можно попросить врача продемонстрировать ее (как годовой техосмотр автомобиля).
А для тех, кто боится дозы излучения, используемого при выполнении рентгеновских снимков в зубоврачебных клиниках, добавлю, что соотношение контакта с рентгеновским излучением относительно контакта с «космическим» излучением, которому мы подвергаемся ежедневно, удивит многих.
Количество излучения, которому пациент подвергается во время выполнения двух снимков прикуса, равно количеству излучения, которое мы получаем за 10-24 часа жизни (зависит от фильтра, установленного в приборе); при выполнении статусного снимка мы получаем столько же излучения, сколько получаем, не осознавая этого, за 2-5 дней жизни, а панорамный снимок – это 10-24 часа космического излучения.
И только для сравнения с рентгеновским снимком грудной клетки: при выполнении одного маленького стоматологического снимка (прикуса/ периапикального) пациент получает от одной двадцатой до одной сороковой от количества излучения, которую получает человек при выполнении снимка грудной клетки, а при выполнении панорамного снимка соотношение получаемого излучения составляет одну десятую от количества, которое получает человек при выполнении снимка грудной клетки.








