Ортодонтическое лечение для детей и подростков

В каком возрасте рекомендуется выполнять первичную ортодонтическую проверку?

Объединение израильских ортодонтов и Ассоциация американских ортодонтов рекомендуют проводить первичную проверку в возрасте 7-8 лет. Эта проверка обеспечивает раннее обнаружение проблем, а профилактическое вмешательство уменьшает вероятность того, что в будущем понадобится более сложное и дорогое лечение.

В дальнейшем рекомендуется производить ежегодные проверки, и в случае необходимости, – начать комплексное ортодонтическое лечение ближе к возрасту прорезывания постоянных зубов (приблизительно в 12 лет). При лечении детей и подростков всегда надо задумываться о процессе роста, чтобы добиться максимального соответствия в положении челюстей и наибольшей гармоничности лица. В этом возрасте зубы смещаются быстро, и хороший результат сохраняется на долгие годы и помогает следить за здоровьем зубов и десен до конца жизни.

Для того, чтобы лечение было успешным, важно следить за гигиеной зубов. Особые приспособления на зубах требуют использования специальных зубных щеток во время чистки зубов для снятия налета, образующегося на приспособлениях. В завершение процесса чистки рекомендуется ежедневно пользоваться жидкостями для полоскания рта. В дополнение к этому,во время лечения у ортодонта рекомендуется постоянно посещать специалиста по гигиене полости рта.
Признаки или привычки, которые могут видетельствовать о том, что нужно произвести внеочередную проверку.
– Спонтанная преждевременная потеря молочных зубов или их раннее удаление.
– Дыхание через рот.
– Сосание пальца (которое продолжается после 3-4 лет).
– Сосание соски (которое продолжается после 3-4 лет).

– Тесно растущие, отсутствующие либо прорезавшиеся не на своем месте зубы.
– Челюсти, издающие звуки при смыкании и размыкании.
– Зубы, которые неправильно смыкаются либо не смыкаются вообще.
– Челюсти или зубы, непропорциональные по отношению к лицу.

Проверка у ортодонта-специалиста в возрасте 7-8 лет позволяет выбрать наиболее подходящий момент для ортодонтического вмешательства (если таковое потребуется)

Преимущества лечения в раннем возрасте:

ортодонтическое лечение может принести пользу в любом возрасте. Вместе с тем, лечение в раннем возрасте имеет некоторые преимущества:
Возможность управлять ростом челюстей – челюсти до сих пор находятся в процессе роста, и пока что можно управлять процессом их роста так, как требуется.

Направление прорезающихся постоянных зубов в нужное положение и возможность избежать проведения более сложного лечения в будущем.

Излечение от вредных привычек, например, от сосания соски и пальца.

Облегчение или полное излечивание таких проблем, как трудности при глотании или проблемы с речью.

Улучшение внешнего вида и появление уверенности в себе.

Уменьшение вероятности прорезывания постоянных зубов в неправильном месте.

Примеры ортодонтических приспособлений, которые используются для лечения детей раннего возраста:

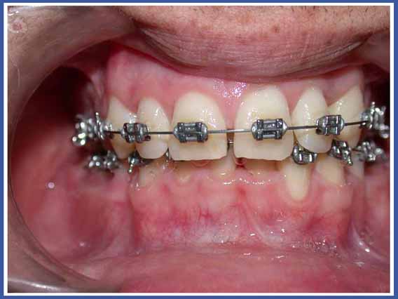
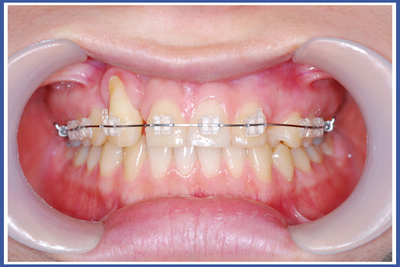
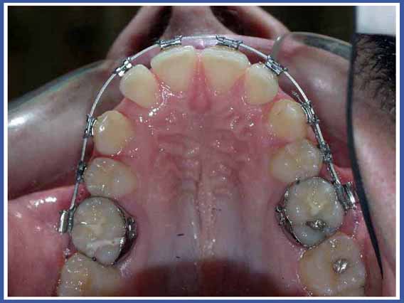
Ортодонтические брекеты (мост):

Это на сегодняшний день наиболее распространенное приспособление для выпрямления зубов. Брекеты приклеиваются к зубам, и проволочка, проходящая между ними, позволяет смещать зубы во всех трех измерениях при полном контроле над смещением, в отличие от пластинок, которые могут изменять только угол расположения зубов относительно челюсти. Брекеты могут быть как металлическими, так и прозрачными.

Брекеты, приклеиваемые к зубам, обладают многими преимуществами, но у них есть также и недостатки. Основной недостаток – это накопление остатков пищи и появление на нем микробов. Чтобы избежать опасности появления кариеса (дырок), нужно тщательнейшим образом чистить зубы в период лечения, и, насколько это возможно, избегать употребления пищи, ускоряющей развитие кариеса (пищи, богатой сахаром).

Инструкции для соблюдения гигиены рта во время ортодонтического лечения, выполняемого с помощью брекетов (моста):
Очень важно чистить пространство между зубами и кольцами, потому что микробы имеют тенденцию находиться в труднодосягаемых местах. Это действие предотвратит появление проблем и кариеса после завершения лечения и снятия брекетов.

«Упор для языка» – что это такое?

Это ортодонтическое приспособление, предназначающееся для лечения в случаях переднего открытого прикуса, образующегося, в основном, из-за сосания пальца или соски. Данное приспособление приклеивается к зубам верхней челюсти с задней стороны и представляет собой препятствие для языка, не позволяя ему проникать в промежуток между передними зубами. Это приспособление эффективно также при отучении от сосания пальца и при дефектах прикуса, вызванных сосанием пальца, а именно, при дефектах переднего открытого прикуса.

Что такое «удерживатель пространства»?

Иногда молочный зуб у ребенка «пропадает» раньше времени из-за кариеса или в результате травмы. Если это происходит до того момента, когда постоянный зуб становится готовым к прорезыванию, соседний с этим пустующим местом зуб может сместиться и занять промежуток, предназначающийся для постоянного зуба, и, таким образом, получится отсутствие места для прорезывания постоянного зуба. В дополнение к этому, зуб на второй челюсти может тоже прорезаться и направить свой рост в сторону промежутка, образовавшегося на месте отсутствующего зуба.

Когда на месте отсутствующего зуба становится слишком тесно, прорезающийся постоянный зуб может прорезаться неправильно. В результате этого может произойти следующее:

Зуб прорежется неправильно или не прорежется совсем.

Неправильно прорезавшийся зуб осложняет, в дополнение ко всему прочему, чистку зубов и соблюдение гигиены в данной области и повышает вероятность появления кариеса.

Зуб, прорезавшийся в неправильном месте, может отрицательно повлиять на эффективность процесса жевания и может быстро стереться.

Если проблема не будет своевременно решена с помощью удерживателя пространства (это относительно простое приспособление, которое предотвращает смещение зубов на данном участке), возможно, потребуется сложное ортодонтическое лечение в более старшем возрасте.

Есть молочные зубы, которые заменяются постоянными только в 12 или 14 лет, и поэтому удерживатель пространства остается во рту до того, как прорежутся соответствующие зубы!

Удерживатель пространства – это маленькое металлическое приспособление, которое подготавливается и приспосабливается индивидуально для вашего ребенка в соответствии со строением его рта. Оно надежно закрепляется во рту и будет снято только тогда, когда постоянный зуб займет правильное для себя место. Это приспособление обычно строится из металлического колечка, приклеиваемого к соседнему зубу, и металлической трубочки, присоединенной к нему и опирающейся на соседние зубы. Целью использования приспособления является стабилизация зубов, оставшихся по сторонам промежутка, а также предотвращение их смещения в сторону этого промежутка до того момента, когда прорезавшийся постоянный зуб займет свое место.

Каким образом сохраняется исправность и чистота удерживателя пространства?

Существует несколько правил, которые Ваш ребенок должен соблюдать для того, чтобы сохранять исправность удерживателя пространства.

Он должен будет избегать сладкой и липкой пищи и жевания жвачки.

Вы должны будете объяснить ему, что нельзя тянуть или толкать удерживатель пространства пальцами или языком.

Нужно сохранять удерживатель пространства в чистоте с помощью зубной щетки и зубной нити.

Вы должны являться на профилактический визит к зубному врачу каждые 6 месяцев.

И в завершение: проверка у ортодонта-специалиста в возрасте около 7-8 лет позволяет ортодонту обнаружить и оценить серьезность проблем, если таковые существуют, сообщить, есть ли необходимость в лечении, и назначить время, наиболее подходящее для него.

«Запертые» зубы

Существуют ситуации, когда зуб не может прорезаться в предназначенном для него месте на зубной дуге и остается «запертым» в десне.

Существует несколько основных причин для появления «запертых» зубов:

1.Зуб «запирается» вследствие тесноты, создавшейся на зубной дуге: свободное место, предназначающееся для прорезывания зуба, стало меньше, и ему негде прорезаться.

В таком случае зуб прорежется в неправильном месте или останется «запертым» в десне.


2. Перегораживание места для прорезывания: например, лишний зуб на данном участке или нерассосавшийся корень молочного зуба.

3. Неправильная траектория прорезывания. Постоянный зуб начинает развиваться в глубине десен и со временем прорезается. Зубы, у которых длинная траектория прорезывания, могут «ошибиться» и в результате останутся «запертыми» в деснах, в неправильном месте. Такие ситуации характерны для верхних клыков, у которых очень длинная траектория прорезывания (другие зубы тоже могут оказаться «запертыми», но реже). Частота появления «запертых» клыков у населения составляет 1%-3%


Лечение:

Характер лечения определяется факторами, которые привели к появлению «запертого» зуба.

1.Если основным фактором является теснота, обычно бывает достаточно того, чтобы освободить место для прорезывания зуба, и он прорежется самостоятельно.

2. Если зуб «заперт» вследствие того, что его место занято, это лечится с помощью удаления фактора, препятствующего прорезыванию зуба, и в большинстве случаев зуб прорежется самостоятельно.

3.Если зуб «заперт» вследствие того, что траектория прорезывания неправильная, нужно обнажить «запертый» зуб хирургическим путем. Иногда простое обнажение зуба может изменить траекторию прорезывания, а иногда во время обнажения нужно приклеивать ортодонтическое приспособление на «запертый зуб» и активно вытягивать его на зубную дугу.

Шансы на удачное завершение лечения:

Лечение основывается на предположении, что «запертый» зуб не потерял свой потенциал прорезывания. Шансы достигнуть успеха в лечении «запертых» зубов очень велики в молодом возрасте (а в возрасте 40 лет составляют около 50%). Причина в том, что со временем зуб прирастает к кости в десне, а в таком случае теряется потенциал прорезывания зуба. Поэтому лучше прорезывать «запертые» зубы в более молодом возрасте.